8 Dấu Hiệu Cảnh Báo Sớm Ung Thư Khoang Miệng - Dân Trí
Có thể bạn quan tâm
Trong các ung thư khoang miệng, ung thư lưỡi hay gặp nhất chiếm tỷ lệ khoảng 40%. Khi được phát hiện sớm, ung thư khoang miệng có thể được chữa khỏi hoàn toàn bằng phẫu thuật.
Khoang miệng có vai trò nhai nghiền thức ăn, đồng thời phơi nhiễm với các tác nhân gây ung thư như kích thích hóa học và cơ học: thuốc lá, rượu bia và thức ăn, răng có bờ sắc cạnh…
Vậy ai là người có nguy cơ cao mắc bệnh ung thư khoang miệng? Phát hiện sớm ung thư khoang miệng có thể thực hiện dễ dàng qua quan sát và sờ nắn trực tiếp tổn thương nghi ngờ.

Hiện nay, nhiều yếu tố nguy cơ liên quan đến ung thư khoang miệng đã được công bố: thuốc lá, rượu bia, kích thích cơ học (răng có bờ sắc cạnh, răng giả chất lượng kém…), kích thích hóa học (chất cay, thực phẩm có hàm lượng muối cao…), tổn thương niêm mạc do nhiễm trùng (viêm quanh răng, viêm xoang hàm), nhiễm virut (các virut viêm gan, HPV…), tuổi.
Trong những yếu tố này, thuốc lá và rượu bia là hai yếu tố có mối liên quan phổ biến nhất với ung thư khoang miệng.
8 dấu hiệu ung thư khoang miệng
Làm thế nào để chẩn đoán ung thư khoang miệng sớm từ những người có yếu tố nguy cơ cao với thói quen hút thuốc và uống rượu? Trước tiên bạn phải thường xuyên tự khám miệng để kịp thời phát hiện ra các dấu hiệu sớm của ung thư khoang miệng.
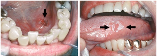
Các tác giả Nhật Bản đã tổng kết 8 dấu hiệu khách quan và chủ quan để tầm soát tổn thương niêm mạc khoang miệng như sau:
- Hạt cơm màu trắng, thường xuất hiện tại lợi hàm hoặc niêm mạc má, và hầu hết không có triệu chứng.
- Chấm trắng xuất hiện trên nền niêm mạc bình thường với bề mặt gồ ghề và bờ viền không đều.
- Tổn thương niêm mạc gây ra bởi răng giả hoặc bờ răng sắc nhọn, và không lành sau 2 tuần.
- Tổn thương dạng cục cứng dưới niêm mạc với bờ viền không rõ, không đau và phát triển to ra từ từ. Niêm mạc trên bề mặt bình thường.
- Tổn thương niêm mạc không rõ nguyên nhân, và không lành sau 2 tuần.
- Tổn thương không lành sau nhổ răng, sưng đỏ, dễ chảy máu khi chạm vào tổn thương.
- Một vùng niêm mạc khoang miệng trở nên đỏ và gây đau rát, khó lành.
- Xuất hiện đau vùng khoang miệng không rõ nguyên nhân, đau ngày càng trầm trọng hơn.
Đặc biệt ở những người có tiền sử gia đình bị bệnh ung thư, bạn sẽ có nguy cơ cao hơn, càng phải để ý đến các triệu chứng trên.
Hút thuốc và uống rượu thường xuyên là những tác nhân gây ung thư. Hãy hạn chế tối đa nếu có thể. Nếu bạn có thói quen hút thuốc lá và uống rượu thường xuyên, bạn có nguy cơ mắc bệnh ung thư cao hơn người khác, trong đó có ung thư khoang miệng. Khi bạn có một trong 8 triệu chứng trên hãy đến gặp các bác sỹ chuyên khoa ung thư để được chẩn đoán và điều trị kịp thời.
Từ khóa » Hình ảnh Ung Thư Khoang Miệng
-
Hình ảnh Ung Thư Miệng được Thể Hiện Rõ Trong Bài Viết Này
-
UNG THƯ KHOANG MIỆNG HOẶC HỌNG MIỆNG
-
Ung Thư Khoang Miệng: Biểu Hiện, điều Trị Và Cách Chăm Sóc đúng
-
Ung Thư Tế Bào Vảy Khoang Miệng - Phiên Bản Dành Cho Chuyên Gia
-
Bệnh Ung Thư Khoang Miệng - Những Vấn đề Không Nên Bỏ Qua
-
Ung Thư Khoang Miệng - Dấu Hiệu Không Nên Chủ Quan
-
Ung Thư Khoang Miệng: Nguyên Nhân, Triệu Chứng, Chẩn đoán Và ...
-
Ung Thư Khoang Miệng: Những điều Cần Biết | Vinmec
-
8 Dấu Hiệu Giúp Phát Hiện Sớm Và Một Số Yếu Tố Nguy Cơ Gây Ung ...
-
10 Hình ảnh Ung Thư Khoang Miệng - Sức Khỏe đời Sống 24h
-
Hình ảnh Ung Thư Khoang Miệng. Cách điều Trị Ung Thư Hiệu Quả
-
Ung Thư Lưỡi Là Gì? Hình Ảnh, Dấu Hiệu, Cách Điều Trị
-
Bệnh Ung Thư Miệng (Ung Thư Hầu Họng)
-
Dấu Hiệu Ung Thư Miệng: Khi Nào Cảnh Báo Nguy Hiểm? - Hello Bacsi