8 Dấu Hiệu Phát Hiện Sớm Ung Thư Khoang Miệng | Báo Dân Trí
Có thể bạn quan tâm
Ung thư khoang miệng là một tổn thương ác tính xuất hiện tại vùng khoang miệng bao gồm: lưỡi, lợi hàm dưới, niêm mạc má, sàn miệng, lợi hàm trên, khẩu cái và môi. Trong đó ung thư lưỡi hay gặp nhất chiếm tỷ lệ khoảng 40%.
Khi được phát hiện sớm, ung thư khoang miệng có thể được chữa khỏi hoàn toàn bằng phẫu thuật.
Hiện nay, nhiều yếu tố nguy cơ liên quan đến ung thư khoang miệng đã được công bố: thuốc lá, rượu bia, kích thích cơ học (răng có bờ sắc cạnh, răng giả chất lượng kém…), kích thích hóa học (chất cay, thực phẩm có hàm lượng muối cao…), tổn thương niêm mạc do nhiễm trùng (viêm quanh răng, viêm xoang hàm), nhiễm virus (các virus viêm gan, HPV…), tuổi. Trong những yếu tố này, thuốc lá và rượu bia là hai yếu tố có mối liên quan phổ biến nhất với ung thư khoang miệng.

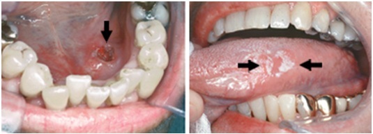
Để chẩn đoán ung thư khoang miệng sớm, theo bác sĩ Hoàng Đào Chinh, khoa Xạ trị-Xạ phẫu, Bệnh viện Trung ương Quân đội 108 (Hà Nội), bạn phải thường xuyên tự khám miệng để kịp thời phát hiện ra các dấu hiệu sớm của ung thư khoang miệng. Các tác giả Nhật Bản đã tổng kết 8 dấu hiệu khách quan và chủ quan để tầm soát tổn thương niêm mạc khoang miệng như sau:
- Hạt cơm màu trắng, thường xuất hiện tại lợi hàm hoặc niêm mạc má, và hầu hết không có triệu chứng.
- Chấm trắng xuất hiện trên nền niêm mạc bình thường với bề mặt gồ ghề và bờ viền không đều.
- Tổn thương niêm mạc gây ra bởi răng giả hoặc bờ răng sắc nhọn, và không lành sau 2 tuần.
- Tổn thương dạng cục cứng dưới niêm mạc với bờ viền không rõ, không đau và phát triển to ra từ từ. Niêm mạc trên bề mặt bình thường.
- Tổn thương niêm mạc không rõ nguyên nhân, và không lành sau 2 tuần.
- Tổn thương không lành sau nhổ răng, sưng đỏ, dễ chảy máu khi chạm vào tổn thương.
- Một vùng niêm mạc khoang miệng trở nên đỏ và gây đau rát, khó lành.
- Xuất hiện đau vùng khoang miệng không rõ nguyên nhân, đau ngày càng trầm trọng hơn.

Hút thuốc và uống rượu thường xuyên là những tác nhân gây ung thư. Hãy hạn chế tối đa nếu có thể. Nếu bạn có thói quen hút thuốc lá và uống rượu thường xuyên, bạn có nguy cơ mắc bệnh ung thư cao hơn người khác, trong đó có ung thư khoang miệng. Khi bạn có một trong 8 triệu chứng trên hãy đến gặp các bác sỹ chuyên khoa ung thư để được chẩn đoán và điều trị kịp thời.
Điều trị ung thư khoang miệng hiện tại có 3 biện pháp chủ yếu là phẫu thuật, xạ trị và hóa trị. Với những trường hợp phát hiện ung thư miệng ở giai đoạn sớm, việc điều trị có thể tiến hành bằng phẫu thuật cắt bỏ khối u. Tùy theo tiến triển của khối u mà áp dụng các mức độ điều trị phẫu thuật khác nhau như cắt bỏ khối u đơn thuần, cắt u và nạo vét hạch cổ, cắt u, nạo vét hạch cổ kèm phẫu thuật tái tạo.
Xạ trị được sử dụng phối hợp trước hoặc sau phẫu thuật để tăng thêm hiệu quả điều trị. Tuy nhiên, trong quá trình điều trị nó cũng gây ra nhiều tác dụng phụ như khô miệng, sâu răng, loét, chảy máu khoang miệng, hoại tử xương hàm...
Hóa trị liệu có thể dùng phối hợp với xạ trị để làm tăng tác dụng của xạ trị. Việc điều trị có thể gây ra những tác dụng phụ như buồn nôn, nôn, rụng tóc.
Từ khóa » Hình ảnh Khoang Miệng Bình Thường
-
Hình ảnh Khoang Miệng Bình Thường Và Các Bệnh Khoang Miệng
-
Ung Thư Khoang Miệng: Biểu Hiện, điều Trị Và Cách Chăm Sóc đúng
-
Hình ảnh Ung Thư Miệng được Thể Hiện Rõ Trong Bài Viết Này
-
8 Dấu Hiệu Giúp Phát Hiện Sớm Và Một Số Yếu Tố Nguy Cơ Gây Ung ...
-
Viêm Miệng - Rối Loạn Nha Khoa - Phiên Bản Dành Cho Chuyên Gia
-
Các U ở Miệng - Rối Loạn Nha Khoa - Phiên Bản Dành Cho Chuyên Gia
-
Hình ảnh Khoang Miệng Bình Thường Và Các Bệnh Khoang Miệng
-
Cảnh Giác Trước Các Bệnh Lý Khoang Miệng Do Trào Ngược Dạ Dày
-
Ung Thư Khoang Miệng: Nguyên Nhân, Triệu Chứng, Chẩn đoán Và ...
-
Ung Thư Khoang Miệng: Những điều Cần Biết | Vinmec
-
15+ Hình ảnh Nấm Miệng ở Trẻ Em Khiến Mẹ Rùng Mình - DR.PAPIE
-
UNG THƯ KHOANG MIỆNG HOẶC HỌNG MIỆNG
-
Loét Niêm Mạc Miệng - Nguyên Nhân, Dấu Hiệu Và Phương Pháp ...
-
Điều Trị Loét Và Ung Thư Miệng - Bệnh Viện FV