Bệnh Giãn Phế Quản - Hội Hô Hấp Việt Nam
Có thể bạn quan tâm
Giãn phế quản (GPQ) là tình trạng tăng khẩu kính phế quản liên tục, vĩnh viễn không hồi phục của một hoặc nhiều phế quản có đường kính trên 2 mm. Bệnh đặc trưng bởi tình trạng ho mãn tính, phế quản tăng tiết đờm quá mức và các đợt cấp do nhiễm khuẩn tái phát.
BỆNH GIÃN PHẾ QUẢN
❓𝑩𝒆̣̂𝒏𝒉 𝒈𝒊𝒂̃𝒏 𝒑𝒉𝒆̂́ 𝒒𝒖𝒂̉𝒏 𝒍𝒂̀ 𝒈𝒊̀?
Giãn phế quản (GPQ) là tình trạng tăng khẩu kính phế quản liên tục, vĩnh viễn không hồi phục của một hoặc nhiều phế quản có đường kính trên 2 mm. Bệnh đặc trưng bởi tình trạng ho mãn tính, phế quản tăng tiết đờm quá mức và các đợt cấp do nhiễm khuẩn tái phát.
Bệnh gây ra do sự phá hủy tổ chức của thành phế quản – hậu quả của tình trạng nhiễm trùng đường hô hấp mạn tính, sau khi bị một số nhiễm trùng ở phổi, hoặc bẩm sinh trong bệnh xơ nang
GPQ có thể lan rộng khắp phổi (khuếch tán) hoặc cục bộ hơn (khu trú).
GPQ được chia thành: GPQ hình túi, GPQ hình trụ và GPQ hình tràng hạt.
‼️ 𝑵𝒈𝒖𝒚𝒆̂𝒏 𝒏𝒉𝒂̂𝒏 𝒈𝒂̂𝒚 𝒈𝒊𝒂̃𝒏 𝒑𝒉𝒆̂́ 𝒒𝒖𝒂̉𝒏
Có nhiều nguyên nhân gây ra giãn phế quản, bao gồm 4 nguyên nhân chính:
❎ Các bệnh di truyền (xơ nang và rối loạn vận động lông chuyển nguyên phát)
❎ Các vấn đề của hệ miễn dịch (giảm khả năng chống lại nhiễm trùng)
❎ Có tiền sử nhiễm trùng phổi trong quá khứ
❎ Các vấn đề về rối loạn nuốt dẫn tới hít phải làm thức ăn hoặc chất lỏng vào phổi
💢 𝑪𝒂́𝒄 𝒃𝒊𝒆̂̉𝒖 𝒉𝒊𝒆̣̂𝒏 𝒄𝒖̉𝒂 𝒃𝒆̣̂𝒏𝒉 𝑮𝒊𝒂̃𝒏 𝒑𝒉𝒆̂́ 𝒒𝒖𝒂̉𝒏
🔻 Ho, khạc đờm kéo dài trong nhiều năm
🔸Đờm mủ màu xanh hoặc màu vàng, một số trường hợp có ho đờm lẫn máu.
🔸Khạc đờm thường tăng lên khi có bội nhiễm.
🔸Có một số trường hợp ho khan hoặc không ho (GPQ thể khô ở các thuỳ trên).
🔸Một số trường hợp có dấu hiệu của viêm đa xoang làm hướng tới hội chứng xoang phế quản.
🔻Ho ra máu:
🔸Có thể là triệu chứng duy nhất của bệnh.
🔸Ho máu tái phát nhiều lần, có thể kéo dài nhiều năm.
🔸Mức độ ho máu có thể ít hoặc nhiều từ ho máu nhẹ; trung bình , ho máu nặng, ho máu rất nặng và/hoặc gây suy hô hấp cấp.
🔸Khó thở, có tiếng thở rít: thường xuất hiện muộn, là biểu hiện của suy hô hấp do tổn thương lan toả hai phổi; có thể có tím.
🔸Sốt: khi có nhiễm khuẩn hô hấp, sốt thường kèm theo khạc đờm tăng và /hoặc thay đổi màu sắc của đờm.
🔸Đau ngực: là dấu hiệu của nhiễm khuẩn phổi ở vùng gần màng phổi hoặc túi phế quản giãn căng.
🔸Các triệu chứng này thường phát triển trong nhiều năm và trở nên nặng hơn theo thời gian hoặc khi bị nhiễm trùng hô hấp.
⭐️ 𝑪𝒂̂̀𝒏 𝒍𝒂̀𝒎 𝒄𝒂́𝒄 𝒕𝒉𝒂̆𝒎 𝒅𝒐̀ 𝒙𝒆́𝒕 𝒏𝒈𝒉𝒊𝒆̣̂𝒎 𝒈𝒊̀ 𝒌𝒉𝒊 𝒃𝒊̣ 𝑮𝑷𝑸
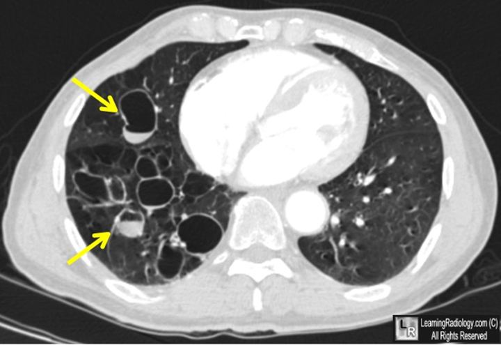
Bệnh giãn phế quản được chẩn đoán bằng hình ảnh X-quang phổi và CT ngực. Tuy nhiên chụp CT ngực lớp mỏng độ phân giải cao có giá trị nhất trong chẩn đoán xác định.
Chụp CT giúp xác định vùng và mức độ nặng của bệnh giãn phế quản và có thể xác định một số nguyên nhân gây bệnh.
Bệnh nhân có thể cần làm thêm xét nghiệm cấy đờm và đo chức năng hô hấp.
Xét nghiệm cấy đờm để tìm loại vi khuẩn có thể cư trú trong vùng giãn phế quản từ đó sẽ giúp xác định kháng sinh nào có hiệu quả tốt nhất trong đợt cấp.
Ngoài ra bệnh nhân giãn phế quản có thể cần làm thêm thủ thuật nội soi phế quản để hút dịch đờm mủ trong phế quản, xác định một số nguyên nhân giãn phế quản (VD: dị vật phế quản, lao…) và nuôi cấy vi khuẩn dịch phế quản.
CT ngực bệnh nhân GPQ, các nhánh PQ giãn to và ứ mủ bên trong (mũi tên)
Bệnh nhân có thể cần làm thêm xét nghiệm cấy đờm và đo chức năng hô hấp.
Xét nghiệm cấy đờm để tìm loại vi khuẩn có thể cư trú trong vùng giãn phế quản từ đó sẽ giúp xác định kháng sinh nào có hiệu quả tốt nhất trong đợt cấp.
Ngoài ra bệnh nhân giãn phế quản có thể cần làm thêm thủ thuật nội soi phế quản để hút dịch đờm mủ trong phế quản, xác định một số nguyên nhân giãn phế quản (VD: dị vật phế quản, lao…) và nuôi cấy vi khuẩn dịch phế quản.
✅ 𝑩𝒆̣̂𝒏𝒉 𝒈𝒊𝒂̃𝒏 𝒑𝒉𝒆̂́ 𝒒𝒖𝒂̉𝒏 𝒄𝒐́ 𝒕𝒉𝒆̂̉ 𝒄𝒉𝒖̛̃𝒂 𝒌𝒉𝒐̉𝒊 đ𝒖̛𝒐̛̣𝒄 𝒌𝒉𝒐̂𝒏𝒈?
☘️Giãn phế quản là tình trạng các cấu trúc của thành phế quản bị phá hủy nên dễ bị viêm và dễ dàng sập xuống. Kèm theo đó là sự suy giảm thông khí và giảm khả năng dẫn lưu đờm nhầy trong lòng phế quản ra ngoài. Sự tích tụ đờm nhầy tạo điều kiện thuận lợi để nhiều loại vi khuẩn xâm nhập, cư trú trong lòng phế quản và gây ra các đợt nhiễm khuẩn tái đi tái lại. Tình trạng nhiễm trùng phế quản càng làm nặng lên bệnh giãn phế quản tạo ra vòng xoắn bệnh lý.
☘️ Giãn phế quản là tổn thương không thể hồi phục được, tuy nhiên điều trị giúp giảm triệu chứng, giới hạn chức năng hô hấp và sự tiến triển của bệnh. Điều trị giúp bệnh giãn phế quản không trở nên tồi tệ hơn, và giúp ngăn chặn vòng luẩn quẩn của việc nhiễm trùng lặp đi lặp lại.
Một số trường hợp bệnh nhân chỉ bị giãn phế quản trong một vùng của phổi, phẫu thuật cắt bỏ phần phổi đó có thể chữa khỏi bệnh.
⚠️ Đ𝒊𝒆̂̀𝒖 𝒕𝒓𝒊̣ 𝒈𝒊𝒂̃𝒏 𝒑𝒉𝒆̂́ 𝒒𝒖𝒂̉𝒏
Tổn thương trong giãn phế quản là không thể hồi phục được, vì vậy mục tiêu điều trị nhằm ngăn chặn hoặc làm chậm sự tiến triển của bệnh.
C͟á͟c͟ ͟b͟i͟ệ͟n͟ ͟p͟h͟á͟p͟ ͟đ͟i͟ề͟u͟ ͟t͟r͟ị͟ ͟c͟h͟u͟n͟g͟:͟:
✨ Duy trì chế độ ăn uống lành mạnh và tập thể dục; đảm bảo lượng năng lượng đầy đủ.
✨ Nếu bệnh nhân hút thuốc cần phải dừng lại ngay và hỗ trợ các biện pháp cai thuốc lá. Hút thuốc thụ động cũng nên tránh.
✨ Tiêm phòng cúm và phế cầu khuẩn theo hướng dẫn của bác sỹ chuyên khoa hô hấp.
D̲ẫ̲n̲ ̲l̲ư̲u̲ ̲đ̲ờ̲m̲ ̲v̲à̲ ̲p̲h̲ụ̲c̲ ̲h̲ồ̲i̲ ̲c̲h̲ứ̲c̲ ̲n̲ă̲n̲g̲ ̲h̲ô̲ ̲h̲ấ̲p̲:̲
✨ Khám bác sỹ chuyên khoa Hô hấp để được hướng dẫn cách ho khạc đờm và vỗ rung lồng ngực kết hợp với dẫn lưu theo tư thế. Tuỳ theo vị trí tổn thương chọn tư thế thích hợp, thường cần để bệnh nhân nằm đầu dốc, sao cho đờm, mủ từ phế quản thoát ra ngoài dễ dàng.
✨ Kết hợp vỗ rung, lắc lồng ngực. Mỗi ngày nên làm 2-3 lần, thời gian mỗi lần tăng dần, 5-10-20 phút, làm trước bữa ăn.
✨ Đây là phương pháp dẫn lưu đơn giản có kết quả tốt và BN cần làm thường xuyên hàng ngày kể cả khi không có bội nhiễm phế quản.
✨ Soi phế quản ống mềm nếu có. Trong quá trình soi tiến hành hút dịch phế quản làm xét nghiệm vi sinh vật, bơm rửa lòng phế quản, giải phóng đờm mủ bít tắc.
Đ̲i̲ề̲u̲ ̲t̲r̲ị̲ ̲t̲r̲o̲n̲g̲ ̲đ̲ợ̲t̲ ̲c̲ấ̲p̲
✨ Nếu có các biểu hiện của đợt cấp như: ho đờm xanh, đờm mủ tăng lên, sốt, khó thở, ho khạc máu cần khám ngay bác sỹ chuyên khoa để được điều trị thích hợp.
✨ Điều trị kháng sinh trong đợt cấp bội nhiễm
✨ Điều trị ho máu
✨ Sử dụng các thuốc giãn phế quản theo chỉ định của bác sỹ nếu có tình trạng co thắt phế quản, thở rít
✨ Phẫu thuật: Chỉ định cắt phân thuỳ, thuỳ hoặc cả bên phổi cho những trường hợp giãn phế quản khu trú; giãn phế quản có ho máu nặng hoặc ho máu tái phát.
Đ̲i̲ề̲u̲ ̲t̲r̲ị̲ ̲h̲ộ̲i̲ ̲c̲h̲ứ̲n̲g̲ ̲x̲o̲a̲n̲g̲ ̲p̲h̲ế̲ ̲q̲u̲ả̲n̲ ̲(̲G̲P̲Q̲ ̲v̲à̲ ̲v̲i̲ê̲m̲ ̲đ̲a̲ ̲x̲o̲a̲n̲g̲ ̲m̲ạ̲n̲ ̲t̲í̲n̲h̲)̲
✨ Uống erythromycin 10 mg/kg/ngày, chia 2 lần, kéo dài từ 6- 24 tháng nếu bệnh nhân không bị các tác dụng phụ của thuốc.
💊💊 𝑻𝒉𝒖𝒐̂́𝒄 𝒈𝒊𝒂̃𝒏 𝒑𝒉𝒆̂́ 𝒒𝒖𝒂̉𝒏 𝒗𝒂̀ 𝒃𝒆̣̂𝒏𝒉 𝒈𝒊𝒂̃𝒏 𝒑𝒉𝒆̂́ 𝒒𝒖𝒂̉𝒏:
Bệnh giãn phế quản là hậu quả của tình trạng đường dẫn khí (phế quản) bị phá huỷ. Còn các thuốc giãn phế quản chủ yếu tác động vào cơ trơn phế quản, làm giảm co thắt các cơ này, dẫn đến cải thiện tình trạng khó thở. Thuốc giãn phế quản không gây tổn thương hủy hoại cấu trúc của phế quản nên không gây bệnh giãn phế quản. Thuốc thậm chí làm giảm tình trạng co thắt của phế quản và tăng khả năng dẫn lưu đờm, cải thiện triệu chứng ở bệnh nhân giãn phế quản.
Hình ảnh cắt ngang phế quản bình thường và phế quản trong bệnh GPQ
Thuốc GPQ tác động làm giảm co thắt cơ trơn PQ, không gây phá hủy thành PQ
🛡 𝑷𝒉𝒐̀𝒏𝒈 𝒃𝒆̣̂𝒏𝒉
💎 Không hút thuốc lá, thuốc lào, tránh môi trường có nhiều bụi khói.
💎 Vệ sinh răng miệng, tai - mũi - họng.
💎 Điều trị triệt để các ổ nhiễm khuẩn vùng tai mũi họng, răng miệng, các bệnh về đường hô hấp như viêm phế quản cấp, áp xe phổi.
💎 Tiêm phòng cúm hàng năm để đề phòng những đợt bội nhiễm của giãn phế quản.
💎 Điều trị sớm lao sơ nhiễm ở trẻ em.
💎 Đề phòng và lấy sớm dị vật phế quản nếu có.
💎 Rèn luyện thân thể thường xuyên để tăng sức đề kháng của cơ thể. Giữ ấm cổ ngực, đề phòng các đợt bội nhiễm khi đã bị giãn phế quản.
(Nguồn: Trung tâm Hô hấp - Bệnh viện Bạch Mai)
Từ khóa » Ct Giãn Phế Quản
-
Hình ảnh Cắt Lớp Vi Tính Của Giãn Phế Quản | Vinmec
-
Giãn Phế Quản - Rối Loạn Chức Năng Hô Hấp - Cẩm Nang MSD
-
DÃN PHẾ QUẢN - SlideShare
-
Giãn Phế Quản - Bệnh Viện Quân Y 103
-
Giãn Phế Quản - Nguyên Nhân Và Phương Pháp Chẩn đoán
-
Chẩn đoán Và điều Trị Giãn Phế Quản Như Thế Nào để Nhanh Hồi ...
-
Chẩn đoán Giãn Phế Quản Những Biến Chứng Nguy Hiểm | BvNTP
-
CHẨN ĐOÁN VÀ ĐIỀU TRỊ GIÃN PHẾ QUẢN
-
Giãn Phế Quản Chẩn đoán Phân Biệt - YouTube
-
Giãn Phế Nang - Nguyên Nhân, Dấu Hiệu Và điều Trị
-
Sống Khỏe Với Bệnh Giãn Phế Quản | PKDK Ngọc Minh
-
[PDF] CẮT LỚP VI TÍNH ĐỊNH LƯỢNG TRONG BỆNH PHỔI TẮC NGHẼN ...
-
Giãn Phế Quản Trên X Quang Chuẩn - Dieutri.Vn