BV Đột Quỵ-Tim Mạch Cần Thơ - Tin Tức Cập Nhật Mới Nhất Tại
Từ khóa
Tìm thấy 9 kết quả #BV Đột Quỵ-Tim Mạch Cần Thơ
BV Đột quỵ-Tim mạch Cần Thơ được trao chứng nhận Kim cương về điều trị đột quỵ
15/01/2023 09:46
Hi hữu: Vỡ mạch máu não khi đang hát karaoke
02/06/2022 17:50
Đi đứng bình thường sau 13 năm yếu liệt
11/05/2022 10:38
Bệnh nhân đột quỵ khu vực miền Tây tăng nhanh
14/01/2022 10:25
Bệnh viện đầu tiên ở miền Tây được trao chứng nhận Bạch kim điều trị đột quỵ
31/10/2021 10:02
Bé 8 tuổi ở An Giang mắc căn bệnh rất hiếm gặp ở trẻ em
21/10/2021 15:15
Sắp gắp ra hàng trăm mảnh đạn trong đầu bác thương binh
06/11/2020 09:29
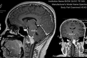
Tưởng chóng mặt do rối loạn tuần hoàn, té ra bị u não hiếm gặp
02/09/2020 15:10
Vỡ thận, gan, lách do xe tông khi đi mua đồ cúng tết Đoan ngọ
27/06/2020 17:43 Xem thêm Đọc nhiều Tiện íchTiện ích
- Lịch tư vấn pháp luật
- Bạn đọc góp ý
- Liên hệ quảng cáo
- Thông tin tòa soạn
- Dịch vụ công CATP
- Chế độ tối
Tất cả chuyên mục
Thời sự Chính trị Thời luận Chính kiến Cùng lên tiếng Pháp luật Chat với chuyên gia Chính sách mới Luật và đời Kinh tế Pháp lý 4.0 Quản lý Doanh nghiệp - Cộng đồng Phát triển Xanh Gỡ vướng pháp lý Đơn vị tiêu biểu Tài chính Xanh Đô thị Giao thông Môi trường An ninh trật tự Hồ sơ phá án Quốc tế Sự kiện Quân sự Muôn mặt Xã hội Giáo dục Chọn trường - Chọn nghề Sức khỏe Bác sĩ online Văn hóa Ăn sạch sống khỏe Thể thao Trong nước Quốc tế Fair Play Các môn khác Video Bạn đọc Ý kiến bạn đọc Tôi muốn hỏi Cải chính Tổ ấm tôi mơ Thị trường - Tiêu dùng Nhịp sống đô thị Đèn trên biển Thư viện ảnh Chuyện ra khơi Tin tức Tài chính - Ngân hàng Pháp lý cho kiều bào Xe và Luật Bất động sản Kỷ nguyên số Văn bản pháp luật Trang địa phương Video E-Magazine Infographic Ảnh Story LENS Mới nhất Xem nhiều Tin nóngTừ khóa » Bv Sos Cần Thơ
-
Giới Thiệu Bệnh Viện - Bệnh Viện Đa Khoa Quốc Tế S.I.S Cần Thơ
-
Trang Chủ - Bệnh Viện Đa Khoa Quốc Tế S.I.S Cần Thơ
-
Bệnh Viện Đa Khoa Quốc Tế SIS Cần Thơ - Đặt Lịch Hẹn Trực Tuyến
-
Bệnh Viện Đa Khoa Quốc Tế SIS Cần Thơ - Home | Facebook
-
Bệnh Viện đa Khoa Quốc Tế SIS Cần Thơ (Bệnh Viện Đột Quỵ
-
Bệnh Viện Đa Khoa Quốc Tế S.I.S Cần Thơ - Tìm Đường Đi
-
Vì Sao Bệnh Viện Đa Khoa Quốc Tế S.I.S Cần Thơ Khẩn Cầu Lãnh đạo ...
-
BỆNH VIỆN ĐA KHOA THÀNH PHỐ CẦN THƠ
-
Bệnh Viện đa Khoa Quốc Tế S.I.S Cần Thơ - Thủ Thuật
-
BỆNH VIỆN PHỤ SẢN THÀNH PHỐ CẦN THƠ: TRANG CHỦ
-
Bệnh Viện Trung Ương Cần Thơ
-
Bệnh Viện Đột Quỵ Tim Mạch Cần Thơ Chính Thức đi Vào Hoạt động
-
Bệnh Viện Hoàn Mỹ Cửu Long - Cần Thơ