Cụ ông Vỡ U Gan, Máu Tràn Ngập ổ Bụng Mà Không Hề Biết

Sức khỏe

Google News Cụ ông vỡ u gan, máu tràn ngập ổ bụng mà không hề biết Quảng An 17/12/2019 15:18 Nghe Chia sẻ Lưu tin Bình luận Trở về chia sẻ chia sẻ copy link in báo bình luận
Cụ ông vỡ u gan, máu tràn ngập ổ bụng mà không hề biết
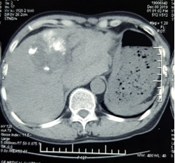
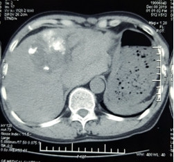
Các bác sĩ Bệnh viện Ung Bướu Hà Nội vừa thực hiện thành công ca cấp cứu u gan vỡ gây mất máu cấp, có nguy cơ tử vong cao nếu không được can thiệp kịp thời. Bệnh nhân được cầm máu bằng phương pháp nút tắc động mạch gan, giúp vượt qua “cửa tử”. Bệnh nhân Ngô Văn S., 59 tuổi, trú tại Hoàng Mai – Hà Nội mắc ung thư gan, khối u có đường kính 6 cm, lồi khỏi mặt dưới gan trái, đã được nút mạch hóa chất cách đây 3 tháng, sức khỏe ổn định. Đến sáng chủ nhật ngày 8/12/2019, bệnh nhân được người nhà đưa đến Bệnh viện Ung Bướu Hà Nội trong tình trạng đau bụng dữ dội vùng thượng vị, hoa mắt chóng mặt, da nhợt nhạt, mạch nhanh 140 lần/phút, huyết áp tụt còn 90/70 mmHg. Qua siêu âm, các bác sĩ phát hiện có nhiều máu trong ổ bụng bệnh nhân. Kết quả chụp cắt lớp vi tính cho thấy, khối u gan kích thước hơn 6 cm thâm nhiễm nhu mô gan trái đã vỡ, còn đang có dấu hiệu chảy máu, tạo khối máu tụ lớn khoang hậu cung mạc nối, nhiều dịch máu quanh gan và tiểu khung, chỗ dày nhất 6 cm. Bệnh nhân được chẩn đoán sốc mất máu do u gan vỡ, nguy cơ tử vong cao. Trước tình huống nguy kịch của bệnh nhân, BSCKII. Nguyễn Đình Hướng – Trưởng Khoa Chẩn đoán hình ảnh đã hội chẩn cấp cứu và quyết định thực hiện kỹ thuật nút tắc động mạch gan để cầm máu u gan vỡ trên hệ thống máy chụp mạch số hóa xóa nền (DSA). Các bác sĩ khoa Chẩn đoán hình ảnh, Phẫu thuật – Gây mê Hồi sức đã khẩn trương sắp xếp hệ thống và tiến hành thủ thuật nhanh nhất có thể để “chạy đua” với “tử thần”. Cụ ông vỡ u gan, máu tràn ngập ổ bụng mà không hề biết ảnh 1Hình ảnh khối u gan hạ phân thùy IV bị vỡ gây khối máu tụ lớn quanh gan trái Bác sĩ Hướng cho biết: “Nếu không được xử trí ngay, bệnh nhân sẽ bị mất máu ồ ạt trong ổ bụng dẫn đến tử vong chỉ trong thời gian ngắn. Nút mạch gan là chỉ định hàng đầu để xử trí trong trường hợp này nhằm cứu sống bệnh nhân. Kỹ thuật can thiệp nút mạch sẽ bít tắc được mạch máu bị vỡ (nguyên nhân chảy máu), giúp bệnh nhân cầm máu tức thì, tránh nguy cơ tử vong. Hơn nữa, vị trí luồn thiết bị can thiệp kích thước nhỏ như vết tiêm truyền mạch máu, ít gây đau đớn, không để lại sẹo và thời gian hồi phục sức khỏe sau thủ thuật của bệnh nhân nhanh, ít tai biến so với các phương pháp điều trị khác.” Cụ ông vỡ u gan, máu tràn ngập ổ bụng mà không hề biết ảnh 2Hình ảnh động mạch thân tạng chụp bằng máy chụp mạch số hóa xóa nền: động mạch gan trái và phải còn đang có dấu hiệu chảy máu ra ngoài gan. Ca phẫu thuật diễn ra trong khoảng 30 phút. Sau khi nút tắc động mạch mạch gan, huyết động của bệnh nhân ổn định ngay. Huyết áp tăng lên 110/70 mmHg, mạch đo được 100 lần/phút. Theo dõi sau 1 tuần, mạch và huyết áp đều ổn định, chụp cắt lớp vi tính kiểm tra lại thấy động mạch gan trái và phải tắc hoàn toàn, khối u không còn tăng sinh mạch, không còn dấu hiệu chảy máu ra ngoài khối u, lượng máu tụ trong ổ bụng đã giảm 50%. Trải qua cơn “thập tử nhất sinh”, ông Ngô Văn S. chia sẻ: “Lúc vào viện tôi đau bụng quằn quại, cứ nghĩ mình sắp chết đến nơi. Rất may, tôi đã được các bác sĩ đưa đi cấp cứu rất nhanh, kịp thời cứu sống. Giờ sức khỏe tôi đã ổn hơn nhiều, ăn uống tốt rồi.” Cụ ông vỡ u gan, máu tràn ngập ổ bụng mà không hề biết ảnh 3Bệnh nhân S. tươi tỉnh sau 1 tuần được phẫu thuật cấp cứu Chụp và nút động mạch dưới máy chụp mạch số hóa xóa nền là kỹ thuật hiện đại trong điều trị bệnh lý khối u khi không có chỉ định can thiệp bằng phẫu thuật hoặc tiến hành trước phẫu thuật để tạo thuận lợi tránh các biến chứng chảy máu trong cuộc mổ cho bệnh nhân, mang lại nhiều cơ hội cứu sống người bệnh ung thư, nhất là ung thư gan. Đây là kỹ thuật nút mạch cấp cứu tương đối phức tạp, đòi hỏi bác sĩ điện quang can thiệp phải có kinh nghiệm và kĩ năng chuyên sâu, bài bản, trang thiết bị - vật tư y tế hiện đại đầy đủ và đồng bộ sẽ giúp bệnh nhân tránh được ca đại phẫu với thời gian nằm viện điều trị dài ngày, nguy cơ tử vong do mất máu và các biến chứng hậu phẫu. Kỹ thuật này ưu việt hơn rất nhiều so với trước đây, để điều trị u gan vỡ chảy máu cấp ổ bụng, bệnh nhân phải trải qua cuộc đại phẫu nặng nề, mất máu, vết mổ hở gây đau đớn, thời gian nằm viện kéo dài, tai biến trong cuộc mổ cũng như hậu phẫu phức tạp, hay gặp hơn. Kỹ thuật điện quang can thiệp đã được thực hiện thường quy từ nhiều năm nay tại Bệnh viện Ung Bướu Hà Nội, áp dụng cho rất nhiều các bệnh lý của các cơ quan bộ phận khác nhau như: u gan, u xơ tử cung, các u máu hàm mặt, các u máu phần mềm, các can thiệp tiết niệu và đường mật .... và rất nhiều các bệnh lý khác giúp bệnh nhân tránh được các cuộc đại phẫu nguy hiểm, nâng cao tỉ lệ cứu sống người bệnh, giảm chi phí và thời gian nằm viện. Quảng An #u gan #nút tắc động mạch gan

Xem thêm

Các bác sĩ phẫu thuật cắt khối u gan cho bệnh nhi

Cắt khối u gan cho bé trai 11 tuổi mà không cần truyền máu

Điều trị thành công khối u gan cho cụ ông 100 tuổi

Bác sỹ đau đầu tính lượng máu cho ca cắt u gan khổng lồ

Cùng chuyên mục

Số ca nhập viện nghi ngộ độc do ăn bánh mì ở Quảng Ngãi tiếp tục tăng

Số ca nhập viện nghi ngộ độc do ăn bánh mì ở Quảng Ngãi tiếp tục tăng

15 người ở Quảng Ngãi nhập viện sau khi ăn bánh mì

15 người ở Quảng Ngãi nhập viện sau khi ăn bánh mì

Chạy đua với ‘tử thần’ cứu bé trai viêm cơ tim tối cấp

Chạy đua với ‘tử thần’ cứu bé trai viêm cơ tim tối cấp

Công nghệ y tế quyết định chi phí điều trị người dân phải gánh

Công nghệ y tế quyết định chi phí điều trị người dân phải gánh

Kết hợp giữa Y học cổ truyền và hiện đại: Hướng đi nâng tầm chất lượng điều trị tại bệnh viện YHCT Nguyên Phúc

Kết hợp giữa Y học cổ truyền và hiện đại: Hướng đi nâng tầm chất lượng điều trị tại bệnh viện YHCT Nguyên Phúc

Phát hiện sớm - cơ hội sống cho phụ nữ mắc ung thư vú

Phát hiện sớm - cơ hội sống cho phụ nữ mắc ung thư vú

Bé gái sơ sinh bị vùi trong cát đã bú được sữa

Bé gái sơ sinh bị vùi trong cát đã bú được sữa

Bé trai tập đi bị bỏng toàn thân từ sơ sẩy 'chết người' của người lớn

Bé trai tập đi bị bỏng toàn thân từ sơ sẩy 'chết người' của người lớn

Giải pháp tự nhiên cho da khô nứt nẻ, chai sần chỉ từ dầu dừa và nước muối ấm

Giải pháp tự nhiên cho da khô nứt nẻ, chai sần chỉ từ dầu dừa và nước muối ấm

Từ khóa » Dấu Hiệu Vỡ U Gan