Gãy Răng Có Mọc Lại Không ? | Tram Rang Tham Myのブログ - 楽天 ...

 楽天ブログ 100万ポイント山分け!1日5回検索で1ポイントもらえる
  • >>人気記事ランキング
  • ブログを作成
  • 楽天市場
003569 ランダム
ホーム | 日記 | プロフィール 【フォローする】 【ログイン】

Tram rang tham myのブログ

  • ホーム
  • フォローする
  • 過去の記事
  • 新しい記事
  • 新着記事
  • 上に戻る
【毎日開催】 15記事にいいね!で1ポイント 10秒滞在 いいね!--/--次の日記を探す おめでとうございます!ミッションを達成しました。 広告を見てポイントを獲得する ※「ポイントを獲得する」ボタンを押すと広告が表示されます。 x エラーにより、アクションを達成できませんでした。下記より再度ログインの上、改めてミッションに参加してください。 ログインする x X

PR

X

プロフィール

Tram rang tham my

Tram rang tham my

Tram rang tham myのブログへようこそ

フォローする

カレンダー

バックナンバー

2026.02 2026.01 2025.12 2025.11 2025.10

カテゴリ

カテゴリ未分類

(17)

日記/記事の投稿

Trám răng mẻ cạnh có hiệu quả hay không? Cách chữa sâu răng cho trẻ em triệt để nhất Ưu điểm và nhược điểm của làm răng giả tháo lắp Gãy răng có mọc lại không ? Top 5 cách chữa sâu răng hiệu quả ngay tại nhà

コメント新着

コメントに書き込みはありません。

キーワードサーチ

▼キーワード検索 楽天ブログ内 このブログ内 ウェブサイト

< 新しい記事

新着記事一覧(全17件)

過去の記事 >

2017.06.26 XML

Gãy răng có mọc lại không ?

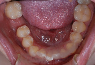
カテゴリ:カテゴリ未分類 Gãy răng có mọc lại không ? Răng là bộ phận khá đặc biệt trên cơ thể. Bởi một khi đã bị mất đi, dù chỉ là mất một phần của răng thì cũng không thể tự hồi phục lại như cũ được.  →http://cayrangimplant.com.vn/gia-trong-tru-rang-khi-mat-rang-hoan-toan-la-bao-nhieu/ →http://cayrangimplant.com.vn/gay-chan-rang-co-moc-lai-khong/ Răng vĩnh viễn có mọc lại không? Độ tuổi thay và mọc răng vĩnh viễn của con người là từ 6 -12 tuổi, khi này, bạn sẽ có 28 chiếc răng, sau tuổi này nếu răng gãy sẽ không có bất kỳ răng nào mọc thay thế. Những chiếc răng mọc ở tuổi trưởng thành được gọi là răng khôn (răng số 8) mọc trong cùng của cung hàm, nếu mọc đủ 4 răng khôn thì hàm răng của bạn sẽ có tổng cộng 32 chiếc răng. Nếu bạn bị mất răng và ảnh hưởng không nhỏ đến việc ăn uống thì tốt nhất nên tìm hướng phục hồi lại răng bằng các cách trồng răng. Hơn thế nữa, răng nào cũng là chiếc răng đóng vai trò quan trọng, quyết định đến tính thẩm mỹ. Đây cũng là lời khuyên của các bác sỹ phục hình cho tất cả các trường hợp mất răng dù là ở vị trí nào trên cung hàm. Bởi vì, việc trồng lại răng không chỉ có tác dụng phục hồi thẩm mỹ mà còn để thực hiện chức năng ăn nhai. Đặc biệt hơn là nhằm duy trì sự ổn định của cấu trúc răng so với xương hàm, tránh hiện tượng tiêu xương do trống chân răng về sau. →http://cayrangimplant.com.vn/giai-phap-trong-rang-cho-truong-hop-mat-rang/ Trồng lại răng bị gãy chân răng bằng cách nào theo tư vấn của nha sĩ? – Làm răng tháo lắp: Là hình thức dùng chiếc răng giả gắn trên khung thép cố định vào các răng kế cận để giữ răng giả ổn định tại vị trí mất răng. Làm răng theo cách này rẻ hơn nhưng lại không bền. – Làm cầu răng: Đây là cách trồng răng tạo ra các chụp răng sứ để đồng thời thay thế cho răng bị mất và chụp lên hai răng kế cận hai bên khoảng trống mất răng. Cách này bền chắc và độ thẩm mỹ rất cao, răng đẹp và tự nhiên nhưng sẽ phải dùng đến số thân răng sứ nhiều hơn răng mất và còn phải mài 2 chiếc răng khỏe 2 bên thành cùi nhỏ. – Cấy ghép răng Implant: Implant răng là gì? Hướng khôi phục răng mất này là tối ưu nhất cho trường hợp gãy răng cấm, gãy chân răng vì có thể trồng lại răng rất bền chắc cả thân và chân răng, tuổi thọ duy trì dài lâu. Răng sẽ hỗ trợ chức năng ăn nhai rất tốt, không kém răng cấm thật, độ thẩm mỹ cũng tương đối cao, tự nhiên Ưu điểm đặc biệt của cấy răng Implant thay thế được cả chân răng và thân răng, không xâm lấn hay làm ảnh hưởng đến các răng kế cận, phục hồi chức năng ăn nhai, tính thẩm mỹ và duy trì vĩnh viễn trên cung hàm. Ngoài ra, nếu muốn tìm hiểu thêm về vấn đề gãy răng có mọc lại không bạn có thể liên hệ với Nha khoa KIM theo hotline 1900.6899 các bác sĩ luôn sẵn sàng giải đáp 24/24. お気に入りの記事を「いいね!」で応援しよう いいね!0 TWITTER シェアする 最終更新日 2017.06.26 16:06:43 コメント(0) | コメントを書く

< 新しい記事

新着記事一覧(全17件)

過去の記事 >

© Rakuten Group, Inc. X

Từ khóa » Gãy Răng Có Mọc Lại Không