Loạt Phản ứng Của Cơ Thể Trong Môi Trường Vô Trọng Lực - Kenh14
Có thể bạn quan tâm
Theo cam kết gần nhất của NASA, họ sẽ bắt đầu chiến dịch để đưa con người lên sao Hỏa vào những năm 2030.
Và nếu thông báo ấy là sự thật, thì cũng đồng nghĩa với việc các phi hành gia sẽ phải sinh hoạt trong môi trường không trọng lực trong suốt 3 năm - vượt xa kỷ lục 438 ngày tồn tại của nhà phi hành gia người Nga Valery Polyakov.
Câu hỏi được đặt ra về cơ thể của chúng ta sẽ có thay đổi như thế nào khi có sự thay đổi về trọng lực của môi trường hay không nhỉ? Hãy cùng nhau tìm hiểu nhé.
1. Não bộ: Phồng lên trông thấy
"Đầu phồng chân teo" (hay hiệu ứng Charlie Brown) là trạng thái rất thường xảy ra với các phi hành gia khi đang ở môi trường không trọng lực.

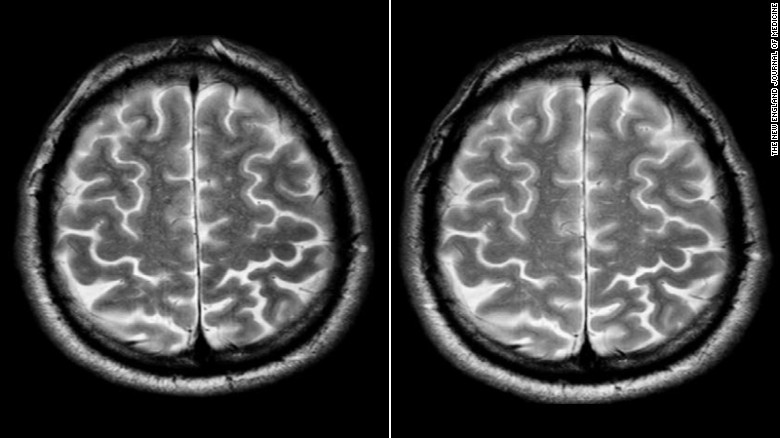
Não bộ của phi hành gia trước và sau khi tham gia vào chuyến du hành ngắn hạn
Việc tích dịch (bao gồm máu và dịch não tủy) từ các cơ quan khác lên sọ não do thay đổi trọng lực sẽ khiến gương mặt của chúng ta căng phồng, trong khi tứ chi thì teo nhỏ lại.
Theo các chuyên gia, nitric oxit có trong cơ thể sẽ khiến các mạch máu giãn nở ra quá mức. Điều này kéo theo việc tăng lượng máu đến não, gây nên áp lực quá mức lên hàng rào máu-não. Kết quả là hiện tượng phù (oedema) xảy ra trên não bộ.
Đây cũng là "thủ phạm" gây nên các triệu chứng mờ mắt, đau đầu và buồn nôn khi áp lực sọ não tăng lên do ứ một lượng dịch đáng kể.

Mặt khác, trong một cuộc khảo sát về thị lực ở 27 phi hành gia của NASA - những người có thời gian ở trên trạm không gian ISS trung bình là 108 ngày - thì đa số đều gặp các vấn đề về mắt.
Kết quả MRI (chụp cộng hưởng từ) cho thấy, 9 phi hành gia có dấu hiệu phồng dây thần kinh thị giác ở sọ não.
Ngoài ra có 6 người nữa có nhãn cầu bị dẹt ở phía sau, ảnh hưởng phần nào đến thị giác mà nguyên nhân vẫn chưa có lời giải đáp.
2. Xương cơ: Tăng kích thước, giảm mật độ
Theo các nhà khoa học tại NASA, chiều cao của các phi hành gia có thể được tăng lên vào khoảng 3% khi đang trong không gian.

Tại môi trường vô trọng lực, các đĩa đệm (spinal dics) giữa các đốt sống của con người được kéo căng ra. Do đó, phi hành gia sẽ trở nên cao hơn so với trên mặt đất. Tuy nhiên rất tiếc là trạng thái "cao kều" này chỉ chỉ là tạm thời thôi. Vài tháng sau khi trở lại mặt đất, mọi chuyện sẽ trở lại bình thường.
Ngược lại với sự giãn nở của các đĩa đệm, mật độ xương của phi hành gia ở trạng thái không trọng lực lại giảm đi khoảng 1% mỗi tháng. Điều này khiến khả năng nứt gãy xương nếu có va đập sẽ cao hơn.
Đó là chưa kể cơ bắp cũng ở trạng thái "thư giãn" chứ không đầy sức mạnh như trên Trái đất. Hệ quả là các phi hành gia có thể bị teo cơ nếu không được tập luyện thể lực thường xuyên trong suốt chuyến hành trình.
3. Hệ miễn dịch: Chống đỡ kém hơn
Trong một nghiên cứu được công bố trên trang Liebertpub vào năm 2014, các nhà khoa học cho biết việc sống bên ngoài không gian có thể ảnh hưởng tiêu cực lên hệ miễn dịch của cơ thể.

"Các yếu tố như phóng xạ, vi khuẩn, stress, chu kì giấc ngủ bị xáo trộn và sự tách biệt đều ảnh hưởng đến hệ miễn dịch của phi hành gia trong không gian." - Brian Crucian, chuyên gia miễn dịch học kiêm nhà nghiên cứu sinh học của NASA cho biết.
"Nếu tình trạng này kéo dài theo thời gian, nguy cơ nhiễm khuẩn, tăng nhạy cảm hay gặp các vấn đề về tự miễn là hoàn toàn có thể."
Nghiên cứu này đồng thời cũng cho thấy các virus tiềm ẩn (như virus thủy đậu) có nhiều khả năng gây bệnh cho cơ thể nhiều hơn, khi ở ngoài không gian.
Tham khảo: Bussiness InsiderTừ khóa » Trọng Lực Môi Trường
-
Môi Trường Vi Trọng Lực - Tin Tức Mới Nhất 24h Qua - VnExpress
-
Môi Trường Không Trọng Lực - Tin Tức Mới Nhất 24h Qua - VnExpress
-
Những điều Khác Lạ Khi Sinh Hoạt Trong Môi Trường Không Trọng Lực
-
Những Biến đổi Thú Vị Trong Môi Trường Không Trọng Lực
-
Trong Môi Trường Phi Trọng Lực 6 Phát Hiện Bất Ngờ Về Y Học
-
Môi Trường Không Trọng Lực Là Gì? Ứng Dụng Vào Ghế Massage
-
Môi Trường Không Trọng Lực Khiến Máu Của Phi Hành Gia Chảy Ngược ...
-
Trọng Trường Trái Đất – Wikipedia Tiếng Việt
-
Trong Môi Trường Không Trọng Lực Sẽ Như Thế Nào ?
-
Trải Nghiệm Trong Môi Trường Không Trọng Lực - YouTube
-
Vì Sao Vũ Trụ Lại Là Chân Không? | Báo Dân Trí
-
Đến Thăm Khu Huấn Luyện “không Trọng Lực” Lớn Nhất Thế Giới Của ...
-
Môi Trường Vi Trọng Lực
-
Trong Môi Trường Vi Trọng Lực: Mắt Của Phi Hành Gia Bị ảnh Hưởng ...