Mang 'bom Nổ Chậm' Mà Không Hay Biết - PLO
Có thể bạn quan tâm
Vừa qua, các bác sĩ khoa phẫu thuật tim - mạch máu, BV Bình Dân (TP.HCM) vừa tiếp nhận bệnh nhân NVV (57 tuổi, ngụ Đắk Lắk) với túi phình động mạch chủ bụng dọa vỡ.
Khám bệnh nhẹ ra bệnh nguy hiểm
Trước đó ông V. không hay biết về sự tồn tại của “quả bom nổ chậm” này. Nhân dịp lên thăm con ở TP.HCM, ông V. cùng người thân chạy xe máy đi khám bệnh đau lưng tại một trung tâm y khoa. Tuy nhiên, khi siêu âm, ông được các bác sĩ phát hiện túi phình động mạch dọa vỡ và đưa lên xe cấp cứu chuyển thẳng đến BV Bình Dân.
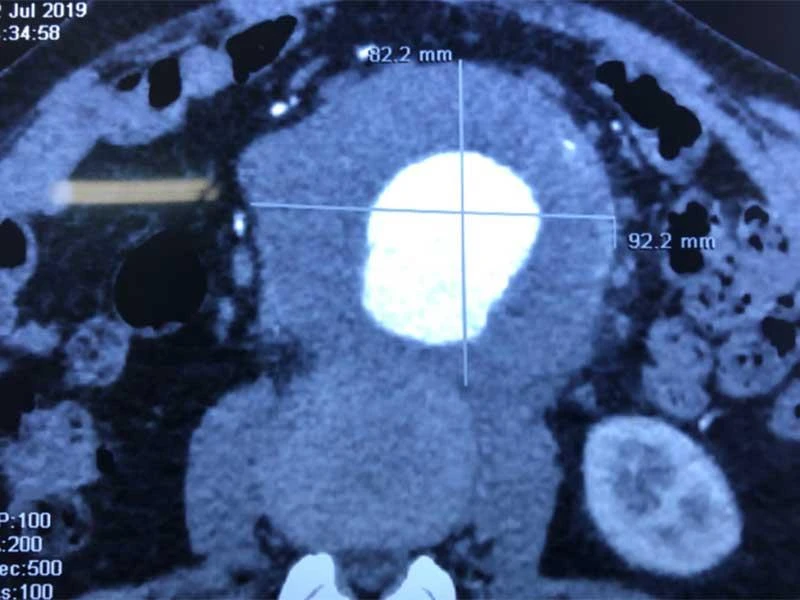
Tại đây, ông được chẩn đoán có túi phình kích thước 9 x 8,6 cm, như một trái bưởi nhỏ, nếu vỡ sẽ khiến một lượng lớn máu xòa ra trong ổ bụng, nguy cơ tử vong lên đến trên 90%. Sau hơn 2 giờ phẫu thuật, các bác sĩ đã loại bỏ trọn khối xơ vữa có trọng lượng 0,5 kg trong túi phình, đặt thành công ống ghép dacron (động mạch nhân tạo) vào động mạch chủ bụng thay thế cho đoạn bị phình giãn.
Một tuần sau phẫu thuật, ông V. đã đi lại được, ăn uống tốt, giảm đau lưng, các chỉ số xét nghiệm máu và chức năng mạch máu ổn định. Ông V. chia sẻ: “Tôi chưa từng nghe đến bệnh phình động mạch chủ nên tôi cứ nghĩ mình đau lưng, đau bụng là do tuổi tác, thận có vấn đề hoặc do nhiễm lạnh”.
Chăm sóc ông Nguyễn Văn B. (74 tuổi, ngụ Tiền Giang) bị căn bệnh tương tự tại khoa mạch máu, BV Chợ Rẫy, chị Nguyễn Thị Thúy O. (con gái ông) cho biết ông sẽ được phẫu thuật để loại bỏ túi phình động mạch chủ bụng. Chị O. kể gia đình phát hiện ông sốt, ho khò khè, mệt mỏi nên đưa vào BV huyện Cai Lậy (Tiền Giang) cấp cứu. Tại BV, ông được cho làm các xét nghiệm, siêu âm và phát hiện ra bệnh phình động mạch chủ bụng nên chuyển lên BV Chợ Rẫy.
BS Nút đang thăm khám cho bệnh nhân B nằm điều trị ở BV Chợ Rẫy.
Hình ảnh siêu âm động mạch chủ bụng phình to như quả bưởi sắp vỡ của ông V. Ảnh do BV Bình Dân cung cấp
Vỡ túi phình gây tử vong nhanh chóng
Theo các bác sĩ, động mạch chủ bụng là động mạch lớn nhất trong cơ thể, dẫn máu từ tim đến các cơ quan ở nửa phần dưới cơ thể. TS-BS Lâm Văn Nút, Trưởng Khoa phẫu thuật mạch máu, BV Chợ Rẫy, cho biết phình động mạch chủ bụng được định nghĩa khi động mạch chủ bụng có kích thước lớn hơn 1,5 lần so với kích thước bình thường. Bệnh thường xuất hiện ở người lớn tuổi và chủ yếu do xơ vữa động mạch khiến động mạch bị tổn thương, thành mạch bị yếu đi làm cho túi phình hình thành, ngoài ra là các bệnh tự miễn hoặc bệnh do mô liên kết khác. Theo thời gian, túi phình lớn dần và nếu không can thiệp kịp thời, túi phình có nguy cơ vỡ đột ngột do áp lực máu gây tử vong nhanh chóng.
Theo BS Nút, bệnh nhân có thể nhận biết bệnh khi sờ thấy khối phình trong bụng đập theo nhịp tim vùng cạnh rốn bên trái. Tuy nhiên, bệnh nguy hiểm ở chỗ khi đa phần có dấu hiệu âm thầm, diễn tiến tự nhiên, bệnh nhân chỉ tình cờ phát hiện ra bệnh khi đi thăm khám sức khỏe.
“Mỗi năm khoa phẫu thuật mạch máu, BV Chợ Rẫy tiếp nhận gần 200 bệnh nhân bị phình động mạch chủ bụng, mổ cấp cứu vỡ túi phình 50 trường hợp và can thiệp trên 100 trường hợp. Các trường hợp bị đau bụng là dấu hiệu phát hiện bệnh trễ, lúc này động mạch chủ bụng đã dọa vỡ và nguy cơ tử vong rất cao” - BS Nút cho biết.
Cũng theo BS Nút, phình động mạch chủ bụng là bệnh lý nặng, phức tạp, rất ít cơ sở tuyến trước điều trị được bệnh này. Nếu túi phình đã vỡ, bệnh nhân phải di chuyển trên đoạn đường xa nên rất ít cơ hội sống được khi chuyển viện. Theo y văn thế giới, tỉ lệ tử vong khi vỡ túi phình rất cao, trên 80%. Các trường hợp túi phình chưa dọa vỡ, chưa có triệu chứng, điều trị thường thành công và đơn giản hơn. Do đó, bệnh nhân cần được phát hiện bệnh sớm để can thiệp kịp thời.
| Siêu âm ít nhất mỗi năm một lần Siêu âm chẩn đoán phình động mạch chủ bụng không khó, các bệnh viện tuyến tỉnh hoặc thậm chí tuyến huyện có thể siêu âm chẩn đoán được. Bệnh nhân lớn tuổi, đặc biệt trên 60 tuổi nên đi kiểm tra sức khỏe, siêu âm bụng ít nhất mỗi năm một lần. Khi phát hiện bệnh, bệnh nhân cần theo dõi sát sao, kiểm tra thường xuyên để bác sĩ có chỉ định điều trị thích hợp. TS-BS LÂM VĂN NÚT, Trưởng Khoa phẫu thuật mạch máu, BV Chợ Rẫy, TP.HCM |
Từ khóa » Bs Lâm Văn Nút
-
TS.BS Lâm Văn Nút - Hội Bệnh Mạch Máu Việt Nam
-
Cập Nhật Chẩn đoán Và điều Trị Thuyên Tắc Mãn Tính Mạch Máu Chi Dưới
-
Hoạt động Bệnh Viện - Chợ Rẫy > Xem Chi Tiết
-
Phương Pháp Can Thiệp Nội Mạch đơn Thuần đã Thành Công Khi Tái ...
-
Danh Sách Bác Sĩ Chuyên Khoa Lồng Ngực Mạch Máu Tại TP.HCM
-
Ben Tre News - BÁC SĨ BV CHỢ RẪY XUỐNG BẾN TRE CỨU KỊP ...
-
7 Bác Sĩ Tim Mạch Can Thiệp Giỏi ở TP.HCM - BookingCare
-
Tê, Mỏi Chân: Chớ Xem Nhẹ | .vn
-
Phòng Khám Nội Tổng Quát Và Nội Tiết Bác Sĩ Lâm Văn Hoàng Có ...
-
Người đàn ông Bị Máy Cưa Cắt Trúng, Suýt Mất Chân - Công An
-
Làm Gì Với 'bom Nổ Chậm' Trong Bụng? - Báo Tuổi Trẻ
-
Chuyện Về "bác Sĩ Người Máy" - Hànộimới
-
Người đàn ông ở Miền Tây Bị Máy Cưa Cắt Vào đùi, Cẳng Chân