Những Hàm Răng Kỳ Lạ Nhất "quả đất" - Kenh14

  • eMagazine
  • Genz Area
  • ShowLive
  • GÓP Ý GIAO DIỆN MỚI
  • TRANG CHỦ
  • Star
  • Ciné
  • Musik
  • Beauty & Fashion
  • Đời sống
  • Money-Z
  • Ăn - Quẩy - Đi
  • Xã hội
  • Sức khỏe
  • Tek-life
  • Học đường
  • Xem Mua Luôn
  • Video
    • Đời sống

      • Nhân vật
      • Xem-Ăn-Chơi
      • House n Home
    • Xem mua luôn

      • Thời trang
      • Đẹp
      • Mommy mua di
    • Sport

      • Bóng đá
      • Hậu trường
      • Pickleball
      • Esports
    • Musik

      • Âu-Mỹ
      • Châu Á
      • Việt Nam
      • Hip-hop neva die
    • Ciné

      • Phim chiếu rạp
      • Phim Việt Nam
      • Series truyền hình
      • Hoa ngữ - Hàn Quốc
    • Tek-Life

      • Metaverse
      • How-To
      • Wow
      • 2-Mall
    • Star

      • Sao Việt
      • Hội bạn thân showbiz
      • TV Show
    • Xã hội

      • Pháp luật
      • Nóng trên mạng
      • Sống xanh
    • Học đường

      • Nhân vật
      • Du học
      • Bản tin 46'
    • Thế giới đó đây

      • Chùm ảnh
      • Khám phá
      • Dị
    • Sức khỏe

      • Tin tức
      • Dinh dưỡng
      • Khỏe đẹp
      • Giới tính
      • Các bệnh
    Nhóm chủ đề

    Tải app

    • iOS
    • Android

    Fanpage

    Liên hệ

    • Quảng cáo
live
  • Dị
  • Ngắm
  • Lạ
  • Sản phẩm
  • Khám phá
Những hàm răng kỳ lạ nhất "quả đất" Bé Bé, Theo Trí Thức Trẻ 00:01 15/02/2013 Chia sẻ Theo dõi Kenh14.vn trên logo

Vì nhiều lý do, một số người đã có hàm răng siêu "đặc biệt"...

  • Những bộ lạc mang dung nhan quái lạ nhất quả đất
  • Người đàn ông răng mọc ra ngoài vì sói dại liếm miệng
  • Những cô nàng có... hàm răng ma cà rồng
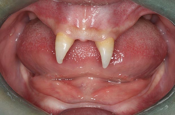
1. Chi gần 40 triệu để có hàm răng "quái vật"Một người phụ nữ tênTừ Vinh, sống tại Trùng Khánh, Trung Quốc sau khi được chồng dẫn đi "làm đẹp" bằng công nghệ thẩm mỹ 3D đã rất sốc khi mình bỗng có hàm răng giống… quái vật.Được biết, chồng cô Từ Vinh đọc được những thông tin quảng cáo về bệnh viện nha khoa thẩm mỹ Thời Đại ở Trùng Khánh nên đã dẫn vợ đi làm đẹp. Một bác sĩ họ Vương tại bệnh viện đã khuyên cô nên tiến hành phẫu thuật bọc răng thẩm mỹ.Những hàm răng kỳ lạ nhất "quả đất" 1Do nghe theo những lời quảng cáo "bùi tai" về 1 bệnh viện nha khoa, người phụ nữ này đã nhận hậu quả đáng tiếc.Với 12 chiếc răng được bọc bột sứ “được nhập từ Đức”, cô Từ Vinh đã phải chi trả 11.980 Nhân dân tệ (tương đương gần 40 triệu VNĐ). Tuy nhiên chỉ hơn 1 tuần sau khi làm đẹp, hàm răng cô Vinh bắt đầu có dấu hiệu đau nhức, chảy mủ. Trong khi đó, các sĩ tại bệnh viện nha khoa đã trốn tránh trách nhiệm, khuyên cô Vinh nên bỏ bộ răng bọc sứ và tìm cách chữa trị khác. Sau khi bỏ lớp sứ bọc răng, người phụ nữ 33 tuổi này đã hoảng hốt không nói nên lời. 12 chiếc răng đã bị mài mòn, nhọn hoắt như quái vật. Tình trạng này khiến cô Từ Vinh hết sức mặc cảm. Cô không dám soi gương và nói chuyện với mọi người. Hiện tại, cô đang phải điều trị tại bệnh viện địa phương để sửa lại hàm răng như cũ.Những hàm răng kỳ lạ nhất "quả đất" 2Hàm răng cô Vinh sau khi "làm đẹp" trở nên xấu xí, nhọn hoắt trông như... hàm răng quái vật.2.Trở thành "quái vật" sau khi đi chữa răng Sau một lần chữa răng, cô Gabriela Andrews, 48 tuổi, sống tại Keysham, Devon, Anh đã có 1 hàm răng “trống không” và cô vô cùng mặc cảm với vẻ ngoài đáng sợ này.Gabriela cho biết, bây giờ hàm răng của cô chỉ còn lại một vài mảnh kim loại cực kỳ thiếu thẩm mỹ, chúng là "di chứng" sau ca cấy ghép răng. 2 năm trước, Gabriela đã lựa chọn điều trị nha khoa tư nhân vì giá cả rẻ hơn so với các trung tâm khác. Chi phí cho ca chữa răng của cô là 4.125 Bảng Anh (tương đương 134,66 triệu VNĐ). Tuy nhiên, sau khi làm hỏng hàm răng của cô Gabriela, bác sĩ nha khoa Tadeusz Piotr Reichel đã trốn tránh trách nhiệm và chuyển tới Ba Lan cư trú. Những hàm răng kỳ lạ nhất "quả đất" 3Sau 1 ca cấy phép răng thất bại, cô Gabriela đã có một vẻ ngoài cực kỳ "đáng sợ".Được biết, sau ca sửa răng tai hại, bác sĩ Tadeusz Piotr Reichel đã bị Đại hội đồng Nha khoa Anh đình chỉ và thu hồi giấy phép hành nghề. Cô Gabriela cho biết thêm, do một lỗ hổng pháp lý, cô đã không được bảo hiểm y tế trả số tiền 15.000 Bảng Anh (tương đương 489,65 triệu VNĐ) cho việc chữa răng. Bên cạnh đó, cô cũng thất bại trong việc kiện tụng và đòi tiền bồi thường từ tay bác sĩ “rởm” Tadeusz Piotr Reichel tại Ba Lan.Những hàm răng kỳ lạ nhất "quả đất" 43. Cậu bé mọc răng như... ma cà rồngMột cậu bé 16 tuổi tên Wang Pengfei sống tại Trùng Khánh, Tây Nam Trung Quốc đã mắc một chứng bệnh lạ từ khi sinh ra. Căn bệnh này khiến Pengfei có rất ít tóc và đến thời kỳ mọc răng, cậu chỉ mọc duy nhất 2 chiếc răng cửa sắc nhọn như… ma cà rồng.Đầu tuần vừa qua, mẹ của Wang Pengfei, bà Wang Hui đã đưa cậu tới một bệnh viện địa phương để kiểm tra y tế. Những năm qua, bà cũng đã nhiều lần nhờ tới sự giúp đỡ của các bác sĩ, tuy nhiên chưa hề có kết quả tích cực về căn bệnh mà con trai mắc phải. Những hàm răng kỳ lạ nhất "quả đất" 5Hàm răng kỳ lạ của Wang Pengfei chỉ có duy nhất 2 chiếc răng cửa nhọn hoắt.Do căn bệnh này, cuộc sống của Wang Pengfei gặp rất nhiều khó khăn. Bên cạnh đó, tính cách của Pengfei cũng trở nên kỳ quặc, Bà Wang Hui cho biết: “Từ nhỏ, Pengfei đã không có bạn và khi lớn lên nó mới nhận ra mình khác biệt với người khác. Con trai tôi này càng cô lập với mọi người. Nó luôn thấy xấu hổ về hàm răng của mình và thậm chí sẵn sàng tấn công những ai trêu chọc hay bàn tán về nó”.Những hàm răng kỳ lạ nhất "quả đất" 6Hình chụp phim X-quang hàm răng của Pengfei.Trong khi đó, các bác sĩ ở bệnh viện Tây Nam cho biết, chỉ khi nào Pengfei đủ tuổi trưởng thành mới có thể tiến hành phẫu thuật. Dự kiến chi phí cho ca phẫu thuật này là khoảng 70.000 đến 80.000 nhân dân tệ (khoảng 234 đến 269 triệu VNĐ).4. Bé gái có hàm răng bọc toàn kim loại Sau một lần đi bác sĩ nha khoa, cô bé Savannah White, 4 tuổi, đến từ Mỹ, đã có hàm răng có 1-0-2 trên thế giới. Toàn bộ răng của cô bé được bao phủ bởi kim loại trông rất kỳ quặc và đáng sợ.Mẹ của Savannah, cô Alecia White cho biết, cô đã đưa con gái đi khám răng định kỳ tại phòng khám của một bác sĩ ở Phoenix, bang Arizona. Sau khi Savannah được tiêm thuốc an thần, cô Alecia mới an tâm ra phòng chờ. Người phụ nữ này không ngờ rằng, chỉ một thời gian ngắn sau, hàm răng của con gái đã “biến dạng” hoàn toàn.Những hàm răng kỳ lạ nhất "quả đất" 7Hàm răng bọc kim loại của Savannah White.Cô nói: “Khi Savannah tỉnh dậy, con bé đã rất hoảng sợ khi nhìn vào bên trong miệng. Hàm răng được bao phủ bởi kim loại, điều đó thật sự kinh khủng và mất thẩm mỹ. Tôi không hiểu vì sao bác sĩ lại không nói trước với tôi khi tiến hành bọc răng nó, thậm chí bác sĩ còn tỏ ra không hài lòng với sự có mặt của tôi”.Hiện tại, cô bé Savannah White vẫn rất bối rối với hàm răng của mình. Trong khi đó, tiến sĩ Richard Chaet, một bác sĩ nhi khoa có 30 năm kinh nghiệm, đã kiểm tra lại hàm răng của Savannah. Ông cho biết: “Hàm răng của cô bé bị sâu rất nhiều, tuy nhiên dường như bác sĩ nha khoa đó đã làm quá mức cần thiết”.Những hàm răng kỳ lạ nhất "quả đất" 8Mẹ của cô bé rất tức giận sau hành động của bác sĩ nha khoa.Những hàm răng kỳ lạ nhất "quả đất" 9Trông Savannah không khác gì nhân vật phản viện Jaws trong phim Điệp viên 007.Những hàm răng kỳ lạ nhất "quả đất" 10 Theo Trí Thức Trẻ Copy link Link bài gốc Lấy link TIN CÙNG CHUYÊN MỤC Xem theo ngày
  • Ngày 1 2 3 4 5 6 7 8 9 10 11 12 13 14 15 16 17 18 19 20 21 22 23 24 25 26 27 28 29 30 31
  • Tháng Tháng 1 Tháng 2 Tháng 3 Tháng 4 Tháng 5 Tháng 6 Tháng 7 Tháng 8 Tháng 9 Tháng 10 Tháng 11 Tháng 12
  • 2020 2021 2022 2023 2024 2025 2026
  • Xem
TIN CÙNG CHUYÊN MỤC Xem theo ngày
  • Ngày 1 2 3 4 5 6 7 8 9 10 11 12 13 14 15 16 17 18 19 20 21 22 23 24 25 26 27 28 29 30 31
  • Tháng Tháng 1 Tháng 2 Tháng 3 Tháng 4 Tháng 5 Tháng 6 Tháng 7 Tháng 8 Tháng 9 Tháng 10 Tháng 11 Tháng 12
  • 2020 2021 2022 2023 2024 2025 2026
  • Xem

Chú chó shiba quản lý quầy khoai lang nướng ở Nhật khiến 5000 anh em mong mỏi được diện kiến một lần Nổi bật

20 thiết kế nhà vệ sinh thảm họa khiến dân mạng thủ thỉ: "Thôi, thà nhịn còn hơn" Nổi bật

Designer Mỹ sáng tạo kiểu ngược đời bằng loạt phát minh dở hơi, không xem hơi phí -

Trời chuyển nắng nóng oi bức, người Trung Quốc rủ nhau mua áo chống nắng gắn quạt điều hòa: Thấy gió mà chẳng thấy mát gì cả! -

Băng ở hồ Mỹ vỡ thành hàng triệu mảnh, dân mạng băn khoăn: "Frozen đời thực hay gì?" -

Khi đi mua sắm, cần tuyệt đối cảnh giác với những cú lừa mang tên "bao bì" - Đóng
  • Star
  • Ciné
  • Musik
  • Beauty & Fashion
  • Sport
  • Đời sống
  • Xã hội
  • Ăn - Quẩy - Đi
  • Xem Mua Luôn
  • Thế giới đó đây
  • Sức khỏe
  • Tek-Life
  • Học đường
  • Money-Z
  • Video

Từ khóa » Hàm Răng Quái Dị