Pseudosubluxación C2–C3 | Anales De Pediatría
- Inicio
- Todos los contenidos
- Ahead of print
- Último número
- Todos los números
- Supl. y colecciones
- Suscríbase a la newsletter
- Publique su artículo
- Guía para autores
- Envío de manuscritos
- Ética editorial
- Inclusión y diversidad
- Servicios de edición
- Conflicto de intereses
- Acerca de la revista
- Alcance y objetivos
- Comité editorial
- Suscríbase a la newsletter
- Contactar
- Contratar publicidad
- Métricas
- Lo más leído
- Lo más citado
- Más populares
- Todas las métricas
- Métricas por países
ISSN: 1695-4033 La Asociación Española de Pediatría tiene como uno de sus objetivos principales la difusión de información científica rigurosa y actualizada sobre las distintas áreas de la pediatría. Anales de Pediatría es una revista de acceso abierto que actúa como el Órgano de Expresión Científica de la Asociación y constituye el vehículo a través del cual se comunican los asociados. Anales de Pediatría publica, en inglés y en español, trabajos originales sobre investigación en pediatría, así como artículos de revisión elaborados por los profesionales expertos de cada especialidad, y guías o documentos de posicionamiento elaborados por las diferentes Sociedades/Secciones Especializadas integradas en la Asociación Española de Pediatría. La revista, referente de la pediatría de habla española, está indexada en las más importantes bases de datos internacionales: Index Medicus/Medline IBECS, IME, SCOPUS, Science Citation Index Expanded, Journal Citations Report, Embase/Excerpta Medica, Directory of Open Access Journals (DOAJ).
Ver más Indexada en:Directory of Open Access Journals (DOAJ)
Ver más Síguenos: RSS Alerta email Factor de impactoEl factor de impacto mide la media del número de citaciones recibidas en un año por trabajos publicados en la publicación durante los dos años anteriores. © Clarivate Analytics, Journal Citation Reports 2025
Ver más Factor de impacto 2024 2,1 CitescoreCiteScore mide la media de citaciones recibidas por artículo publicado.
Ver más Citescore 2024 1,9 SJRSJR es una prestigiosa métrica basada en la idea de que todas las citaciones no son iguales. SJR usa un algoritmo similar al page rank de Google; es una medida cuantitativa y cualitativa al impacto de una publicación.
Ver más SJR 2024 0,353 SNIPSNIP permite comparar el impacto de revistas de diferentes campos temáticos, corrigiendo las diferencias en la probabilidad de ser citado que existe entre revistas de distintas materias.
Ver más SNIP 2024 0,602 Primera decisiónEl número medio de días que tarda un artículo desde su envío hasta la primera decisión editorial.
Ver más Primera decisión 14 días Ver más métricas Ocultar Información de la revista Artículo anterior | Artículo siguiente Vol. 73. Núm. 4.Páginas 211-212 (Octubre 2010) Exportar referencia Compartir Compartir Twitter Facebook Bluesky Linkedin whatsapp E-mail Imprimir Descargar PDF Más opciones de artículo Estadísticas Vol. 73. Núm. 4.Páginas 211-212 (Octubre 2010) Imágenes en Pediatría DOI: 10.1016/j.anpedi.2010.05.002 Acceso a texto completo Pseudosubluxación C2–C3 Pseudosubluxation of C2–C3 Visitas 29994 Descargar PDF C. Rodríguez Vivas, S. Mangas Ramírez Autor para correspondencia ulises25567@yahoo.esAutor para correspondencia. , F.J. Cañadas Espinosa, A.M. Ortega Sánchez, C. Rodríguez PeñaServicio de Urgencias, Hospital General Básico de Motril, Granada, España Este artículo ha recibido 29994 Visitas Información del artículo Texto completo Descargar PDF Estadísticas Figuras (2)
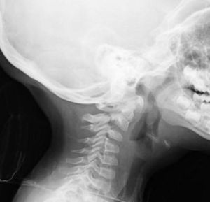
Texto completo La columna vertebral experimenta enormes cambios durante su desarrollo. En los niños, la columna cervical inmadura presenta numerosas variantes de la normalidad que deberíamos conocer para no interpretarlas como patológicas, evitando así realizar exploraciones complementarias innecesarias.
Presentamos el caso de una niña de 3 años que acude a urgencias presentando cervicalgia de 6 días de evolución, sin antecedente traumático y con movilidad cervical activa limitada. La Rx cervical lateral evidencia desplazamiento anterior del cuerpo de C2 sobre el de C3, compatible con pseudosubluxación fisiológica C2–C3 (fig. 1), la variante más frecuente de la normalidad, pudiendo aparecer hasta en el 40% de los menores de 7 años.
Una detallada anamnesis, un riguroso examen clínico y radiológico permiten establecer el diagnóstico la mayoría de las ocasiones.
En la infancia puede existir una separación fisiológica entre C1–C2 ( In Memoriam
- Dra. Victoria Castel Sánchez
- Dr. Alfredo García-Alix
- Imprimir
- Enviar a un amigo
- Exportar referencia
- Mendeley
- Estadísticas
-
Publique en Anales de Pediatría - Guía para autores
- Envío de manuscritos
- Servicios de edición
Từ khóa » C2 Y C3
-
[PDF] GfK_GSE_190502_FINAL.pdf
-
Upper Cervical Spine Chordoma Of C2-C3 - PubMed
-
AB, C1a Y C1b: La Nueva Segmentación De Los Grupos ... - Pauta
-
(PDF) Clinical Outcomes Of Posterior C2-C3 Fixation For Unstable ...
-
Series C2 Y Clasificación C3 - La Rioja 2022 - YouTube
-
[PDF] Pseudoluxación C2-C3 En La Infancia Pseudoluxation C2-C3 In ...
-
Sharp Separation Of C2/C3 Hydrocarbon Mixtures By Zeolitic ...
-
[PDF] Familias C2 Y C3: Rasgos Socioeconomicos, Funcionamiento Familiar Y ...
-
Structural Properties Of Four Isomeric C2'/C3' Modified Uridines
-
[PDF] C1 C2 C3 C4 - ANGEO
-
[PDF] C1 C2 C3 C4 (JxBAVG)Y (JxBC1)Y - ANGEO
-
[PDF] LEADER C2 C3 5W-30 Technical Data Sheet - Repsol