Túi Noãn Hoàng Là Gì? Thông Tin Mẹ Bầu Chớ Bỏ Qua - Eva
Có thể bạn quan tâm
Túi noãn hoàng là gì?
Túi noãn hoàng còn có tên gọi khác là Yolksac, được coi là cấu trúc hoàn chỉnh đầu tiên của thai nhi và sự xuất hiện của túi noãn hoàng là để chuẩn bị cho quá trình hình thành nhau thai.
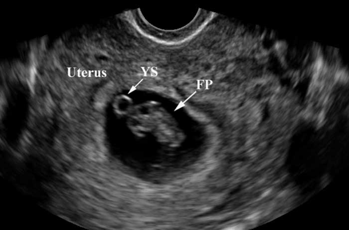
Hình ảnh siêu âm túi noãn hoàng. (Ảnh minh họa)
Trong thời kỳ đầu mang thai, túi noãn hoàng có chức năng là nguồn cung cấp chất dinh dưỡng cho thai nhi phát triển. Đây là cấu trúc đầu tiên có thể nhìn thấy trong túi thai , bao bọc thai nhi đang phát triển và nước ối .
Túi thai trông giống như một vành trắng xung quanh một trung tâm rõ ràng. Nó có thể được nhìn thấy khi siêu âm qua âm đạo - trong đó đũa siêu âm được đưa vào âm đạo chứ không phải ấn vào bụng khi mang thai từ 3 đến 5 tuần. Túi noãn hoàng không thể nhìn thấy cho đến khi thai được khoảng 5,5 đến 6 tuần khi siêu âm ổ bụng.
Túi noãn hoàng cung cấp dinh dưỡng cho phôi thai phát triển cho đến khi nhau thai tiếp quản. Đó là lý do tại sao nó được đánh giá là một chỉ báo tốt về sức khỏe của thai kỳ.
Túi noãn hoàng + là gì?
Thường vào khoảng tuần thứ 5 của thai kỳ, sau khi siêu âm, mẹ bầu sẽ phát hiện được túi noãn hoàng. Tuy nhiên, thời gian này nhiều mẹ thường sẽ lo lắng vì có thể vẫn chưa thấy phôi thai hoặc tim thai. Thực chất, nếu siêu âm bác sĩ báo, có túi noãn hoàng + chính là dấu hiệu vui mừng đầu tiên.
Đây là dấu hiệu báo thai nhi đã vào tử cung của mẹ thành công, mẹ không còn phải lo lắng đến trường hợp thai ngoài dạ con hoặc thai ngoài tử cung nữa. Việc có túi noãn hoàng + cũng thể hiện khả năng phát triển phôi thai bình thường.

Túi noãn hoàng + thể hiện sự phát triển bình thường của thai nhi. (Ảnh minh họa)
Thai 5 tuần chưa có túi noãn hoàng có nguy hiểm không?
Thông thường, một số chị em sau khi siêu âm thai 5 tuần chưa có túi noãn hoàng tỏ ra lo lắng. Tuy nhiên, theo các bác sĩ, việc chưa thấy túi noãn hoàng, có thể do một số nguyên nhân như:
- Tư thế siêu âm: Nếu như siêu âm tại phần mặt bụng, tư thế tử cung gập sẽ khó có thể túi noãn hoàng.
- Do độ phân giải của máy siêu âm chưa đủ cao nên khó thấy rõ túi noãn hoàng.
- Tính sai tuổi thai (dưới 5 tuần tuổi có thể chưa thấy được túi noãn hoàng).
- Thai phát triển chậm hơn so với bình thường (cần phải có thêm thời gian để thấy được túi noãn hoàng).
- ...
Thông thường, với những mẹ bầu siêu âm thai 5 tuần chưa có túi noãn hoàng sẽ được bác sĩ yêu cầu nghỉ ngơi thêm 1 tuần rồi kiểm tra lại. Lúc đó, bác sĩ mới có thể đánh giá đúng tình trạng phát triển của thai nhi, từ đó, đưa ra hướng xử trí sao cho phù hợp.
Trong khoảng thời gian này, mẹ bầu nên tránh căng thẳng, lo lắng quá mức, giữ tâm trạng luôn thoải mái, nghỉ ngơi, bổ sung thêm chất dinh dưỡng, khoáng chất cần thiết cho cơ thể đảm bảo thai kỳ phát triển ổn định nhất.

Thai 5 tuần chưa có túi noãn hoàng không cần quá lo lắng. (Ảnh minh họa)
Có túi noãn hoàng nhưng chưa có phôi thai có nguy hiểm không?
Trong khoảng thời gian từ 5-7 tuần, siêu âm có túi noãn hoàng nhưng chưa có phôi thai mẹ cần thật bình tĩnh, thường sẽ mất khoảng 1-2 tuần để túi noãn hoàng phát triển thành phôi thai.
Việc thai khoảng 5 tuần, 6 tuần tuổi có túi noãn hoàng nhưng chưa có phôi thai là hoàn toàn bình thường. Lúc này, phôi thai có thể vẫn đang trong giai đoạn hình thành và phát triển, còn nhỏ nên chưa nhận ra được.
Phôi thai cần thêm khoảng 2mmm mới có thể phát hiện ra. Ngoài ra, phôi thai cần lớn hơn 5mm mới xác định được tim thai, nếu nhỏ hơn cũng chưa thể thấy được. Vì thế, nếu có túi noãn hoàng nhưng chưa có phôi thai, mẹ bầu không cần quá lo lắng mà cần nghỉ ngơi, tĩnh dưỡng, đợi đến khoảng 7 tuần thì mẹ sẽ thấy nghe được tim thai và thấy rõ phôi thai.
| "No Yolk Sac in Early Pregnancy Does It Mean Miscarriage?", Very Well Family. |
Đau bụng khi mang thai
Từ khóa » Siêu âm Thai Có Túi Noãn Hoàng
-
Hiện Tượng Siêu âm Có Yolksac Là Gì? | Vinmec
-
Túi Noãn Hoàng Là Gì?mẹ Bầu Cần Biết | TCI Hospital
-
Tìm Hiểu Nguyên Nhân Thai Không Có Túi Noãn Hoàng | TCI Hospital
-
Siêu âm Chẩn đoán Thai Sớm - Bệnh Viện Trung ương Quân đội 108
-
Siêu âm Có Yolksac Là Gì Và Những Thông Tin Mẹ Bầu Cần Biết
-
Sức Khỏe Thai Nhi Tuần 4 đến 7 - Bobby
-
Ý Nghĩa Của Siêu âm đối Với Người Có Thai 3 Tháng đầu Và Người ...
-
Túi Noãn Hoàng(yolksac) Là Gì ?
-
Siêu âm Trong Phụ Khoa Và Sản Khoa: Siêu âm Quí Một Thai Kì
-
Túi Noãn Hoàng - Cần Chú ý để Thai Kỳ đảm Bảo An Toàn - Era Group
-
Hình ảnh Yolksac Trên Siêu âm Và Những điều Mẹ Cần Biết - YouMed
-
Thai Nghén Thất Bại Sớm: Dấu Hiệu Lâm Sàng Và Siêu âm Mà Bệnh ...
-
Siêu âm Thai 6 Tuần Tuổi: Tất Tần Tật Những điều Bạn Cần Biết