Ai Dễ Mắc Xơ Phổi Hậu COVID, Di Chứng Này Có Nguy Hiểm Không?

Triệu chứng thường gặp nhất ở bệnh nhân hậu COVID theo hệ cơ quan
Theo nhiều báo cáo từ châu Á sang châu Âu thì ở giai đoạn nhiễm trùng cấp, có đến 14% bệnh nhân nhiễm COVID-19 bị viêm phổi nặng phải nhập viện, 5% bị hội chứng nguy kịch suy hô hấp cấp tính (ARDS) cần thở máy và điều trị ở đơn vị chăm sóc tích cực. Và ARDS cũng là nguyên nhân chính gây tử vong trong giai đoạn cấp. Những thống kê này cho thấy tổn thương phổi là vấn đề trọng yếu của bệnh COVID-19.

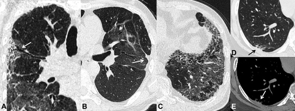
Những di chứng sau viêm phổi do SARS-CoV-2 được ghi nhận trên phim CT scan ngực sau 6 tháng theo dõi. A-dãn phế quản co kéo (mũi tên). B- xẹp phổi dạng đường (mũi tên). C- xơ phổi dạng tổ ong. D và E- dày màng phổi tạng (mũi tên)
1. Xơ phổi hậu COVID là bệnh gì?
Xơ phổi hậu COVID có thể hiểu nôm na là tình trạng nhu mô phổi bị phá hủy trong giai đoạn cấp tính sẽ không thể phục hồi trạng thái nhu mô phổi bình thường, mà thay bằng những mô xơ (đặc biệt ở bệnh nhân bị viêm phổi nặng và ARDS).
Những tổ chức xơ này không thực hiện được chức năng trao đổi khí CO2 và O2 ở phổi, dẫn đến tình trạng khó thở, đặc biệt là khó thở khi vận động thể lực.
Tình trạng xơ hóa này có thể được nhìn thấy trên mô bệnh học qua sinh thiết phổi hoặc hình ảnh xơ trên phim CT scan. Đi kèm với nó là tình trạng giảm thể tích phổi và giảm độ khuếch tán của phổi qua các thăm dò chức năng hô hấp.
2. Xơ phổi hậu COVID có phổ biến không?
Tỉ lệ bệnh nhân có hình ảnh xơ hóa (giai đoạn sớm) trên CT scan khoảng 70-80% bệnh nhân viêm phổi trung bình và 100% bệnh nhân ARDS ở tại thời điểm xuất viện (khoảng 4 tuần sau khởi phát).
Nhưng tình trạng trên sẽ giảm dần theo thời gian. Sau 3 tháng, hình ảnh tổn thương xơ trên CT scan còn khoảng 50% bệnh nhân viêm phổi trung bình và 70% bệnh nhân nặng. Sau 6 tháng, tỉ lệ này là khoảng 30%.
Chưa có những báo cáo theo dõi bệnh nhân lâu hơn 6 tháng được ghi nhận. Dựa trên kinh nghiệm của xơ phổi sau SARS và MERS thì hầu hết bệnh nhân sẽ hồi phục sau 24-36 tháng. Tuy nhiên vẫn còn khoảng 20% bệnh nhân xơ phổi tiến triển nặng hơn sau 5-10 năm, tỉ lệ này là 2-6% ở bệnh nhân viêm phổi mức độ trung bình (giai đoạn cấp).
3. Những ai có nguy cơ bị xơ phổi hậu COVID?
Hình ảnh tổn thương xơ hóa giai đoạn sớm và giảm chức năng phổi có thể xuất hiện ở mọi bệnh nhân bị viêm phổi do SARS-CoV-2. Những bệnh nhân có nguy cơ mắc xơ phổi lâu dài sau COVID gồm:
- Viêm phổi nặng ở đợt bệnh COVID-19 cấp, đặc biệt là bệnh nhân ARDS;
- Bệnh nhân thở máy áp lực dương, cần điều trị ECMO, thời gian nằm viện lâu dài;
- Bệnh nhân nặng, nồng độ các cytokines tiền viêm trong máu cao;
- Bệnh nhân có tổn thương phổi sẵn có, lớn tuổi, hút thuốc lá.
4. Biểu hiện của xơ phổi hậu COVID là gì?
Nhẹ thì ho khan kéo dài, khó thở khi vận động gắng sức, nặng hơn, bệnh nhân có thể khó thở ngay cả khi nghỉ ngơi, cản trở mọi sinh hoạt đời sống thường ngày.
Trên phim chụp CT scan ngực, hình ảnh xơ hóa phổi biểu hiện dưới nhiều dạng và mức độ như: hình ảnh dải xơ, dày các vách liên tiểu thùy, hình ảnh lưới, dãn phế quản co kéo và điển hình nhất là hình ảnh tổ ong
Trong thăm dò chức năng hô hấp: bệnh nhân có giảm thể tích phổi ở nhiều mức độ, giảm độ khuếch tán khí ở phổi khi đo DLCO.
Ở những bệnh nhân được làm sinh thiết phổi, sẽ thấy hình ảnh tăng sinh tế bào tạo sợi và lắng đọng collagen trên mô bệnh học.
5. Bệnh này có nguy hiểm không?
Kinh nghiệm từ đợt dịch SARS và MERS trước đây (cũng do virus Corona gây ra) thì đa số bệnh nhân sẽ hồi phục dần sau 2-3 năm.
Tuy nhiên, vẫn có một số bệnh nhân diễn tiến xơ phổi vẫn tiếp tục sau đó, hầu hết là tổn thương xơ hóa nặng.
Khi đó, bệnh lý xơ phổi hậu nhiễm virus Corona này thực sự là một gánh nặng cho bệnh nhân cũng như cho hệ thống y tế: giảm chất lượng cuộc sống do tình trạng tàn phế, tăng nguy cơ nhập viện, giảm tuổi thọ và tăng chi phí điều trị đáng kể.
6. Nên làm gì?
Tất cả những bệnh nhân từng mắc viêm phổi do COVID-19 đều nên được khám sàng lọc di chứng phổi hậu COVID, đặc biệt là những bệnh nhân nguy cơ rất cao như: viêm phổi nặng, ARDS, từng thở máy, điều trị ECMO, lớn tuổi, có bệnh nền phổi từ trước… nên được đánh giá xơ phổi hậu COVID.
Những bệnh nhân này sẽ được khám và hỏi bệnh sử cẩn thận, làm các bài test vận động. Sau đó, bệnh nhân sẽ được thực hiện các cận lâm sàng cần thiết tùy từng trường hợp cụ thể.
Những cận lâm sàng có thể được đề nghị gồm: chụp CT scan ngực với độ phân giải cao, đo chức năng hô hấp: thăm dò thể tích phổi và độ khuếch tán khí của phổi, xét nghiệm máu, một số trường hợp có thể phải sinh thiết phổi để chẩn đoán.
Ngoài ra, bệnh nhân cần được tầm soát những bệnh lý khác gây khó thở như suy tim, tăng áp phổi, nhiễm trùng hô hấp tái phát… - là những biến chứng có thể gặp hậu COVID. Việc tiếp cận toàn diện này giúp không bỏ sót chẩn đoán và điều trị tối ưu tình trạng khó thở cho bệnh nhân.
7. Điều trị thế nào?
Hiện nay, vẫn chưa có phác đồ điều trị cụ thể xơ phổi hậu COVID do tính chất mới của bệnh.
Tuy nhiên, nhiều ý kiến chuyên gia cũng như nhiều thử nghiệm lâm sàng đã được tiến hành, cho thấy rằng xơ phổi hậu COVID có thể được cải thiện ở những bệnh nhân dùng các thuốc kháng viêm, ức chế miễn dịch lâu dài như corticosteroids, kết hợp với các thuốc chống xơ hóa. Nhiều thuốc khác vẫn đang được thử nghiệm.
Bên cạnh việc dùng thuốc, bệnh nhân xơ phổi cần được tập vật lý trị liệu hô hấp liên tục, lâu dài dưới sự hướng dẫn của chuyên gia vật lý trị liệu, và tránh những tác nhân có thể làm trầm trọng hơn tình trạng tổn thương phổi sẵn có như tránh môi trường ô nhiễm khói bụi, cai thuốc lá, tiêm ngừa vắc xin cúm mùa, và có chế độ ăn uống, sinh hoạt hợp lý giúp tăng sức đề kháng - tránh nhiễm trùng hô hấp do bất kỳ nguyên nhân nào.
8. Cần làm gì để quản lý tốt nhất biến chứng xơ phổi hậu COVID?
Bệnh nhân cần được điều trị sớm và tối ưu ở giai đoạn đang mắc COVID-19 với kháng viêm corticoids, kháng thể đơn dòng, kháng đông khi có chỉ định và thở máy với chiến lược bảo vệ phổi ở những bệnh nhân cần thở máy.
Ở giai đoạn hậu COVID, bệnh nhân cần được khám sàng lọc, tiếp cận chẩn đoán và điều trị toàn diện - tích cực, tuân thủ phác đồ điều trị, bao gồm cả điều trị thuốc, điều chỉnh lối sống lẫn tập phục hồi chức năng.
Lưu ý, việc điều trị xơ phổi hậu COVID có thể kéo dài nhiều tháng, nhiều năm tùy diễn tiến bệnh. Do đó, việc kiên trì tuân thủ điều trị và tái khám đóng vai trò quan trọng.
TTO - Nghiên cứu của Sandra Lopez‑Leon và cộng sự từ 21 phân tích gộp trên gần 48.000 bệnh nhân (17-87 tuổi) ghi nhận có đến 55 triệu chứng tồn tại lâu dài sau khi hồi phục COVID-19 cấp.
Đọc tiếp Về trang Chủ đềTừ khóa » Xơ Vôi Phổi Là Gì
-
Bệnh Xơ Phổi Có Nguy Hiểm Không? | Vinmec
-
Bệnh Vôi Hóa Phổi Có Nguy Hiểm? | Vinmec
-
Bệnh Xơ Phổi: Nguyên Nhân, Triệu Chứng, điều Trị Và Phòng Ngừa
-
Xơ Phổi Có Chữa được Không Và Lối Sống Khoa Học Cho Bệnh Nhân
-
Vôi Hóa Phổi Là Gì? Nguyên Nhân Do đâu Và Cách điều Trị - Hello Bacsi
-
Xơ Phổi Là Gì Và Có Chữa được Không? • Hello Bacsi
-
Xơ Hóa Và Vôi Hóa Màng Phổi - Phiên Bản Dành Cho Chuyên Gia
-
Xơ Phổi Vô Căn - Phiên Bản Dành Cho Chuyên Gia - MSD Manuals
-
Xơ Phổi
-
Xơ Phổi
-
Bệnh Lý Xơ Phổi
-
Xơ Hóa Phổi Vô Căn - Tuổi Trẻ Online
-
Bệnh Xơ Phổi – Căn Nguyên Dẫn đến Khó Thở Và Những Biến Chứng ...
-
Xơ Phổi Là Gì? Bệnh Có Chết Không, Nên ăn Gì Và Cách điều Trị