Anh Nghịch Súng Cồn Tự Chế, Em Trai 4 Tuổi Bị đạn Bi Găm Vào Ngực
Có thể bạn quan tâm

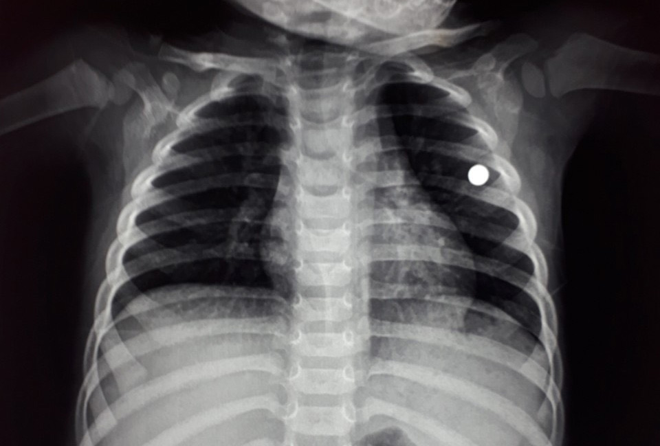
Viên đạn bi (dấu tròn màu trắng) nằm trong ngực trái cháu V. nhìn từ hình ảnh chụp X-quang - Ảnh do Bệnh viện Nhi Thanh Hóa cung cấp
Theo người nhà bệnh nhi V., ngày 18-2, trong lúc V. chơi đùa với anh trai 6 tuổi ở nhà riêng tại xã Xuân Chinh, huyện Thường Xuân, người anh nghịch chiếc súng cồn tự chế không may bắn đạn bi bằng chì vào ngực trái của V.
Người thân nhanh chóng đưa V. đến Bệnh viện Đa khoa huyện Thường Xuân sơ cứu, rồi chuyển lên Bệnh viện Nhi Thanh Hóa cấp cứu.
Cháu V. nhập viện trong tình trạng có vết thương ở ngực trái, kích thước 1,5 x 1,5cm, gần tim, chảy máu, chưa gây tổn thương đến phổi. Các bác sĩ của khoa tim mạch - lồng ngực Bệnh viện Nhi Thanh Hóa đã phẫu thuật gắp viên đạn từ ngực trái cháu V. ra ngoài thành công.
Đến cuối giờ chiều nay 20-2, sức khỏe cháu V. dần ổn định, đang được theo dõi, tiếp tục điều trị tại Bệnh viện Nhi Thanh Hóa.

Số súng cồn tự chế mà Công an tỉnh Thanh Hóa thu giữ để tiêu hủy - Ảnh: HÀ ĐỒNG
Được biết, súng cồn tự chế là loại súng bắn hơi cồn có cơ chế hoạt động gần giống các loại súng hơi, có tính sát thương cao, nguy hiểm đến tính mạng.
Nguyên vật liệu chế súng cồn khá rẻ tiền, dễ kiếm nên giới trẻ tự chế súng này để sử dụng bắn chim, dù loại súng này bị pháp luật cấm sử dụng.
Hằng năm, công an các địa phương ở tỉnh Thanh Hóa thu giữ và tiêu hủy hàng trăm khẩu súng cồn tự chế bị cấm sử dụng này.
TTO - Đoạn clip dài 2 phút ghi lại cảnh một người đàn ông ở Quảng Nam chặn đầu ôtô, dùng súng tự chế dọa bắn người trong xe.
Đọc tiếp Về trang Chủ đềTừ khóa » Hinh Sung Tu Che
-
Súng Tự Chế - Tin Tức, Hình ảnh, Video, Bình Luận
-
Mức Hình Phạt Khi Sử Dụng Súng Tự Chế ? Chế Tạo Và Dùng Súng để ...
-
Tin Tức, Hình ảnh, Video Clip Mới Nhất Về Sung Tự Chế
-
Tin Tức, Hình ảnh, Video Clip Mới Nhất Về Súng Tự Chế
-
Súng Tự Chế - Tin Tức Mới Nhất 24h Qua - VnExpress
-
Dù Súng Tự Chế Bắn 'cát Tặc' Và Cái Kết đau đớn | NDTP | ANTV
-
Phá điểm Sản Xuất Súng Tự Chế Giá 500.000 đồng Một Khẩu
-
Nếu Sử Dụng Súng Tự Chế Gây Tổn Hại đến Sức Khoẻ Và Tính Mạng ...
-
Sử Dụng Súng để Bắn Chim Có Phải đi Tù?
-
Súng Tự Chế - Tin Tức Cập Nhật Mới Nhất Tại | Kết Quả Trang 1
-
Mức Hình Phạt Khi Sử Dụng Súng Tự Chế Gây Thương Tích
-
Thủ Công|Hướng Dẫn|Tự Chế Bút Bi Hình Súng Săn - Bilibili
-
Tin Tức Tức Online 24h Về Chế Tạo Súng - Che Tao Sung - Zing
-
Súng Tự Chế 100.000 đồng Sát Thương Không Kém Súng Quân Dụng