Dấu Hiệu X-Quang Ngực **
Có thể bạn quan tâm
1. Dấu hiệu bóng bờ
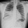
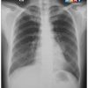
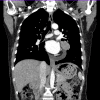
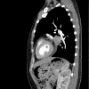
– Khi hai cấu trúc có đậm độ dịch hoặc mô mềm (biểu hiện là hình mờ) tiếp xúc với nhau về mặt giải phẫu (nằm trên cùng 1 mặt phẳng) thì trên phim chụp X-quang sẽ xóa bờ tiếp xúc. + Bất thường thùy giữa hoặc phân thùy trước thùy trên phổi phải (viêm, xẹp, u) → làm mờ đường viền tim phải. + Bất thường phân thùy trước thùy trên phổi trái hoặc lưỡi phổi → làm mờ đường viền tim trái. + Bất thường phân thùy đỉnh – sau của thùy trên phổi trái → làm mờ cung động mạch chủ. + Bất thường phân thùy đáy của thùy dưới phổi → làm mờ cơ hoành bên tương ứng. + Tràn dịch màng phổi → làm mờ cơ hoành bên tương ứng. – Ngược lại nếu hai cấu trúc chồng hình nhưng không xóa bờ tiếp xúc thì về mặt giải phẫu chúng không tiếp xúc với nhau (không cùng nằm trên 1 mặt phẳng, 1 cấu trúc ở phía trước, 1 cấu trúc sẽ ở phía sau). – Được coi là dấu hiệu X-quang ngực quan trọng nhất. – Khi có xóa bờ: dấu hiệu Silhouette sign (+).















– Khi không xóa bờ: dấu hiệu Silhouette sign (-).






=> Case lâm sàng 1: khối u màng tim






  Xray.vn là Website học tập về chuyên ngành Chẩn Đoán Hình Ảnh   NỘI DUNG WEB » 422 Bài giảng chẩn đoán hình ảnh » X-quang / Siêu âm / CT Scan / MRI » 25.000 Hình ảnh case lâm sàng   ĐỐI TƯỢNG » Kỹ thuật viên CĐHA » Sinh viên Y đa khoa » Bác sĩ khối lâm sàng » Bác sĩ chuyên khoa CĐHA   Nội dung Bài giảng & Case lâm sàng thường xuyên được cập nhật !   Đăng nhập Tài khoản để xem Nội dung Bài giảng & Case lâm sàng !!!
Đăng nhập tài khoảnTên đăng nhập | EmailMật khẩu Lưu tài khoản Thành viên mới ⇒ Đăng ký ↵
2. Dấu hiệu cổ ngực
[gallery link="file" ids="64969,64971,64970"]– Dấu hiệu cổ ngực (Cervico – Thoracic Sign) là một biến thể của dấu hiệu xóa bờ, giúp nhận biết một cấu trúc thuộc trung thất trước hay trung thất sau. – Theo giải phẫu, bờ trên của trung thất trước kết thúc ngang mức xương đòn. Do vậy, bờ trên một bóng mờ trung thất không rõ hoặc biến mất trên mức xương đòn thì có nghĩa bóng mờ nằm một phần ở cổ (do bị xóa bờ bởi phần mềm vùng cổ), một phần nằm ở trung thất trước hoặc nằm hoàn toàn trong trung thất trước. Cervico-thoracic sign (+). Hay gặp nhất là bướu giáp chìm sau xương ức.
[gallery link="file" columns="5" ids="131698,153013,64786,64787,64788"]=> Case lâm sàng 1:
[gallery link="file" ids="49155,49154,49153"]– Theo giải phẫu, phần đỉnh phổi phía trung thất sau nằm cao hơn xương đòn. Do đó, nếu bóng mờ còn thấy rõ bờ trên mức xương đòn chứng tỏ nó vẫn được bao quanh bởi khí của phổi nghĩa là nó nằm ở phần phổi cao hơn xương đòn => trung thất sau, đỉnh phổi phía sau hoặc màng phổi phía sau. Cervico-thoracic sign (-).
[gallery link="file" columns="4" ids="167480,131738,64792,64789,74290,64790,64791"]=> Case lâm sàng 1:
[gallery link="file" columns="5" ids="85585,85586,85587,85588,85589"]=> Case lâm sàng 2:
[gallery link="file" ids="164659,164660,164661,164663,164664,164665"]3. Dấu hiệu ngực bụng
– Dấu hiệu ngực bụng (Thoraco – Abdominal Sign / Iceberg Sign) giúp xác định tổn thương hoàn toàn thuộc lồng ngực hay có 1 phần thuộc ổ bụng. – Trường hợp bóng mờ ở vùng đáy phổi, có bờ thấy rõ phía dưới mức vòm hoành nghĩa là còn được bao bọc bởi khí trong phổi => bóng mờ hoàn toàn thuộc lồng ngực.
[gallery link="file" columns="5" ids="124920,73886,64781,124930,124931"]=> Case lâm sàng 1:
[gallery link="file" ids="176788,176789,176791,176792,176793,176794"]– Nếu bóng mờ ngang qua vòm hoành mà không rõ bờ hoặc đi xa bờ cột sống thì tổn thương có phần trong lồng ngực và phần trong ổ bụng (không thấy do không có khí bao quanh – dấu hiệu bóng bờ). Hình ảnh này gọi là dấu hiệu “Tảng băng” với phần nổi của tảng băng là phần thấy được ở lồng ngực.
[gallery link="file" ids="65004,64783,64785,64780,64782,64784"]=> Case lâm sàng 1:
[gallery link="file" ids="124976,124977,124978,124979,124980,124981"]4. Dấu hiệu cánh buồm

– Dấu hiệu cánh buồm / Dấu hiệu sóng (Sail Sign / Wave Sign) – Tuyến ức thường lớn và gần như phát triển đầy đủ khi mới sinh, tăng kích thước trong thời kỳ đầu của trẻ sơ sinh. Tuyến ức dần dần thoái triển sau 2 tuổi, khó nhìn thấy trên X-quang sau 8 tuổi. Đến tuổi trưởng thành, mô tuyến ức phần lớn được thay thế bằng mỡ. – Trên X-quang ngực, tuyến ức bình thường không nhìn thấy được ở thanh thiếu niên và người lớn. Tuy nhiên, ở trẻ sơ sinh và trẻ nhỏ bóng tuyến ức có thể rbị nhầm lẫn với khối u trung thất. – Hình ảnh thấy được trên X-quang rất đa dạng, trong đó dấu hiệu cánh buồm là điển hình: là một hình mờ trung thất, hình tam giác, thường thấy ở bên phải hoặc cả hai bên.
– Dấu hiệu sóng “wave sign”: bờ tuyến bị ấn lõm bởi các cung sườn.
– Hình thái tuyến ức thay đổi khi chup trong thì hít vào & thở ra: thường tăng kích thước trong thì thở ra và giảm kích thước trong thì hít vào => đặc điểm phân biệt với khối u trung thất.
[gallery link="file" columns="2" ids="173662,173661"]5. Dấu hiệu cánh dơi
– Dấu hiệu cánh tuyến ức (thymic wing sign): còn gọi là dấu hiệu cánh buồm lớn “spinnaker sign” hoặc dấu hiệu cánh dơi, cánh thiên thần “angel wing sign” xảy ra ở trẻ em với lượng khí trung thất đủ lớn, tuyến ức có thể đẩy lên cao.
[gallery link="file" columns="4" ids="64975,64976,64977,64978,64979,19315,78627,78629,154056,156375,155788,157048"]6. Che phủ / hội tụ rốn phổi
* Dấu hiệu che phủ rốn phổi (Hilum Overlay Sign) – Khi giữa bóng mờ ở vùng rốn phổi còn thấy rõ động mạch phổi và các nhánh thì bóng mờ đó không nằm ở rốn phổi. Nếu nằm ở rốn phổi, theo “Dấu hiệu bóng bờ” nó phải xóa mờ bờ các mạch máu động mạch phổi. – Bệnh lý có thể gặp: tuyến ức, lymphoma, u tế bào mầm, bệnh lý hạch, giả phình và phình mạch.
– Nếu bóng mờ đó mà xóa bờ tim thì nó sẽ nằm ở cùng mặt phẳng với tim nghĩa là nằm phía trước động mạch phổi: “Dấu hiệu che phủ phía trước” – Nếu bóng mờ đó không xóa bờ tim thì nó sẽ không nằm cùng mặt phẳng với tim nghĩa là nằm ở phía sau động mạch phổi: “Dấu hiệu che phủ phía sau”
[gallery link="file" columns="5" ids="131701,65005,74527,64763,64764,64765,122914,64767,64768,64769,64770,80880,122911,151974,167482"]=> Case lâm sàng 1:
[gallery link="file" ids="172793,172794,172795"]=> Case lâm sàng 2:
[gallery link="file" columns="4" ids="173088,173091,173089,173090"]* Dấu hiệu hội tụ rốn phổi (Hilum Convergence Sign) – Xác định bóng mờ thấy ở vùng rốn phổi có bản chất là mạch máu phổi (giãn động mạch phổi) hay không phải là mạch máu (khối trung thất cạnh rốn phổi). – Nếu các mạch máu hội tụ về bóng mờ ở rốn phổi hoặc dừng lại trên bờ của bóng mờ, hoặc không đi quá 1cm so với bờ ngoài bóng mờ => bóng mờ này có nguồn gốc mạch máu vùng rốn phổi => thường gặp trong tăng áp động mạch phổi, phình động mạch phổi.
[gallery link="file" columns="4" ids="173673,65006,157364,82246,64775,74517,126457,64774,64771,64772,64773,82248"]=> Case lâm sàng 1:
[gallery link="file" columns="5" ids="123993,123994,123995,123996,123997"]=> Case lâm sàng 2:
[gallery link="file" ids="174059,174060,174061"]* Dấu hiệu rộng rốn phổi (Hilar enlargement / Dense hilum sign) – Dấu hiệu cho thấy bệnh lý ở rốn hoặc trong phổi nằm phía trước hoặc sau rốn phổi. Trên phim chụp x quang ngực thẳng bình thường đậm độ của rốn phổi có thể so sánh được ở cả hai bên, thường bằng nhau và đối xứng. – Dấu hiệu rộng rốn phổi có thể xuất hiện 1 hoặc 2 bên. – Nguyên nhân: bệnh lý tại rốn phổi (hạch), bệnh lý mạch máu hoặc bệnh lý nhu mô phổi phía trước hoặc phía sau rốn phổi.
[gallery columns="5" link="file" ids="171135,171136,171142,171143,170297,170298,157359,157358,157350,157351,157352,157353,157354,157355"]=> Case lâm sàng 1:
[gallery link="file" columns="5" ids="172397,172398,172399,172400,172401"]=> Case lâm sàng 2:
[gallery link="file" columns="4" ids="129460,129461,129466,129467,129462,129463,129464,129465"]=> Case lâm sàng 3:
[gallery link="file" columns="5" ids="74531,74532,74533,74534,74535"]=> Case lâm sàng 4:
[gallery link="file" columns="4" ids="61686,61687,61689,61690"]=> Case lâm sàng 5:
[gallery link="file" columns="5" ids="74540,74542,74543,74544,74545"]=> Case lâm sàng 6:
[gallery link="file" columns="4" ids="84347,84348,84349,84350,84351,84352,84353"]=> Case lâm sàng 7:
[gallery columns="4" link="file" ids="126008,126009,126010,126011"]7. Khí phế quản đồ
– Bình thường các phế quản trong phổi không thấy được bởi chúng chứa khí và bao quanh bởi các phế nang cũng chứa khí. – Khi nhu mô phổi xung quanh bị đông đặc, các phế nang lấp đầy dịch, trong khi lòng phế quản không bị tắc nghẽn còn chứa khí => lúc này sẽ thấy rõ lòng các phế quản chứa khí: Air bronchogram sign (+). – Dấu hiệu này có thể thấy trên cả siêu âm, x- quang và CT. + Hình ảnh các phế quản chứa khí, dạng phân nhánh và thuôn nhỏ: cho thấy các phế quản vẫn thông thoáng không bị tắc nghẽn. + Nhu mô phổi xung quanh bị đông đặc.
[gallery link="file" columns="5" ids="64738,129469,188361,131724,174175,129533,91053,64739,64740,64742,156373,64741,188362"]– Một bóng mờ có Air bronchogram sign (+) thì có thể khẳng định tổn thương ở trong phổi. Air bronchogram sign (+) giúp loại trừ một tổn thương thành ngực, màng phổi và trung thất. – Air bronchogram sign (+): gặp trong viêm phổi, phù phổi, xẹp phổi thụ động, đôi khi trong nhồi máu phổi, xuất huyết phổi, chấn thương phổi. + Phù phổi là quá trình bệnh lý liên quan đến rối loạn chức năng tim và sự tích tụ dịch trong khoảng kẽ và lòng phế nang. + Trong ARDS, dấu hiệu khí phế quản đồ không liên quan sự mở rộng của bóng tim. + Xẹp phổi không do tắc nghẽn, hình ảnh khí phế quản thường ở thùy dưới và liên quan với sự giảm thể tích phổi. – Các khối u phổi thường có Air bronchogram sign (-), ngoại trừ ung thư biểu mô phế quản phế nang (Bronchoalveolar carcinoma).
[gallery link="file" ids="64743,64745,64746,64747,64744,64748"]=> Case lâm sàng 1:
[gallery link="file" columns="5" ids="64753,64754,64755,64756,64757"]=> Case lâm sàng 2:
[gallery link="file" columns="4" ids="64759,64758,64760,64761"]8. Dấu hiệu Golden S
– Gặp trong xẹp thùy trên phổi phải do khối u ở rốn phổi phải trên phim chụp PA. Nó còn được gọi là dấu hiệu chữ S đảo ngược của Golden “reverse S sign of Golden”. – Lần đầu được mô tả bởi Ross và Golden năm 1925. – Khối u phế quản thùy trên khi phát triển sẽ chèn ép phế quản gây xẹp phổi. Hiện tượng dịch chuyển lên trên và vào trong của rãnh liên tùy bé + bờ của khối u rốn phổi tạo thành hình chữ S ngược. – Đây là một dấu hiệu X-quang đặc trưng, giúp chẩn đoán xẹp thùy trên phổi phải do khối u rốn phổi, thường gặp trong ung thư phổi trung tâm, đặc biệt là carcinoma tế bào vảy (squamous cell carcinoma).

– Phần lồi ra của chữ S ngược chính là vị trí khối u, phần tiếp theo lõm vào chính là phần nhu mô phổi bị xẹp (rãnh liên thùy bé dịch chuyển lên trên vào trong) do khối u gây tắc phế quản. Tuy nhiên, định nghĩa này chỉ đúng với hình chữ S ở bên phải, khi tổn thương nằm bên phổi trái thì chữ S nằm xuôi. – Dấu hiệu này điển hình thấy ở khối u phế quản thùy trên phổi (P) nhưng cũng có thể gặp ở thùy trên phổi trái.
[gallery link="file" columns="5" ids="64731,170309,170310,64733,129477,157362,129521,47782,172570,64732,47778,73245,64734,83800,83801"]9. Dấu hiệu liềm khí
– Dấu hiệu liềm khí (Air Crescent sign) thường gặp trong bệnh nhiễm nấm Aspergillosis xâm nhập. – Biểu hiện hình liềm khí viền theo khối mờ tổ chức nấm. – Nấm aspergillus sinh sôi ban đầu trong lòng phế quản, rồi xâm nhập vào đường máu qua động mạch phế quản, tạo cục huyết khối, gây hoại tử tạo hang. Có thể là do sự hấp thu tổ chức hoại tử ở ngoại vi nhiều hơn so với trung tâm. Dấu hiệu này gặp ở khoảng 50% bệnh nhân nhiễm nấm xâm nhập. – Một số tổn thương hoại tử nhu mô phổi khác cũng tạo ra hình ảnh liềm khí như lao, áp xe, ung thư phế quản, tổn thương do ký sinh trùng (kén hydatid).

– Hình ảnh tương tự dấu hiệu Monod: mô tả khí bao quanh u nấm (thường là u nấm aspergillus) trong 1 hang có sẵn, thành hang mỏng. Dấu hiệu này thường thấy ở bệnh nhân suy giảm miễn dịch với tiền sử có hang hoặc nang phổi trước đó.
[gallery link="file" columns="4" ids="64726,129471,129479,129535,129498,129517,74293,64727,64728,64829,149596,154345"]10. Dấu hiệu Luftsichel
– Trên phim X-quang ngực thẳng, nó xuất hiện dưới dạng một hình liềm sáng bao quanh cung động mạch chủ, liềm sáng này là một phần phổi thùy dưới bị tăng thông khí (giãn nỡ quá mức) chèn vào khoảng giữa trung thất và thùy phổi bị xẹp. – Khi thùy trên phổi trái xẹp, phần phía trước của cung động mạch chủ có thể bị tiếp xúc trực tiếp bởi phần phổi xẹp, làm biến mất đường viền bình thường trên X-quang. Tuy nhiên, nếu phân thùy đỉnh của thùy dưới phổi trái giãn nở và chen vào giữa thùy phổi xẹp và cung động mạch chủ, thì đường viền của cung động mạch chủ vẫn còn thấy rõ nhờ vào một vùng sáng do phân thùy đỉnh của thùy dưới phổi trái giãn nỡ. – Trên phim X-quang ngực thẳng biểu hiện hình liềm sáng kéo dài từ đỉnh phổi trái đến tĩnh mạch phổi trên trái. Vùng mờ quanh vùng rốn phổi, dần dần mờ nhạt về phía trên, bên ngoài và phía dưới biểu hiện cho phần thùy trên phổi trái đã bị xẹp.
[gallery link="file" columns="5" ids="131726,188739,178074,178058,64831,178059,154710,129526,64724,178060"]11. Dấu hiệu phẳng eo
– Dấu hiệu phẳng eo (Flat Waist Sign): Khi thùy dưới phổi trái xẹp hoàn toàn, nó sẽ kéo rốn phổi trái xuống dưới, bóng tim bị xoay về bên trái, làm cho mất bờ ngoài của rốn phổi trái và quai động mạch chủ. – Dấu hiệu phẳng eo là sự làm phẳng đường viền của bờ tim trái, đặc biệt là phần cung động mạch chủ và thân động mạch phổi liền kề. Trên phim X-quang ngực, thay vì có đường viền tim trái lõm nhẹ (giống như eo), bạn sẽ thấy bờ tim trái trở nên phẳng.
[gallery link="file" columns="4" ids="64719,64720,64721,64722"]12. Dấu hiệu Westemark
– Bác sĩ x-quang người Thụy Điển Nils Johan Hugo Westermark (1892-1980) lần đầu tiên mô tả dấu hiệu này vào năm 1938. – Dấu hiệu này xảy ra khi thuyên tắc động mạch phổi làm giảm tưới máu phần phổi sau tắc nghẽn. – Hình ảnh cắt cụt mạch máu khu trú ở phần xa do tắc nhánh động mạch phía trước. – Chỉ thấy ở 10% bệnh nhân thuyên tắc mạch phổi.
[gallery link="file" ids="64716,64717,64718"]=> Case lâm sàng 1:
[gallery link="file" columns="4" ids="47788,47787,47785,47786"]=> Case lâm sàng 2:
[gallery link="file" columns="5" ids="125279,125280,125281,125282,125283"]=> Case lâm sàng 3:
[gallery link="file" columns="5" ids="125286,125287,125289,125290,125291"]13. Dấu hiệu Hampton
– Được mô tả vào năm 1940 bởi Aubrey Otis Hampton (1900-1955), một bác sĩ x quang người Mỹ. – Khi xảy ra thuyên tắc mạch phổi gây nhồi máu phổi thì trên phim ngực xuất hiện bướu Hampton. – Điển hình là bóng mờ đồng nhất hình chêm ở ngoại vi phổi, có đáy nằm trên lá tạng màng phổi, đỉnh tròn hướng về rốn phổi.
[gallery link="file" columns="4" ids="125337,123185,129523,167484,64713,64715,64714,64712"]=> Case lâm sàng 1:
[gallery link="file" columns="4" ids="172558,172561,172559,172560"]=> Case lâm sàng 2:
[gallery link="file" ids="125258,125259,125260"]=> Case lâm sàng 3:
[gallery link="file" columns="4" ids="125263,125264,125265,125266"]=> Case lâm sàng 4:
[gallery link="file" columns="4" ids="125269,125271,125272,125273"]=> Case lâm sàng 5:
[gallery link="file" columns="4" ids="175468,175470,175469,175472"]14. Dấu hiệu Fleischner
– Được đặt theo tên của Felix George Fleischner (1893-1969), bác sĩ x-quang người Mỹ gốc Áo, người lần đầu tiên mô tả nó vào năm 1961. – 1 động mạch phổi nổi rõ ở trung tâm. Do tắc động mạch hoặc tăng áp động mạch phổi. Nó thường liên quan với dấu hiệu ngón tay gập “knuckle sign”: là sự gián đoạn đột ngột của nhánh động mạch do huyết khối. Dấu hiệu này gặp trong thuyên tắc mạch phổi.
[gallery link="file" ids="129475,129519,64707,64708,64709,64710"]=> Case lâm sàng 1:
[gallery link="file" columns="4" ids="90989,90990,90991,90992"]=> Case lâm sàng 2:
[gallery link="file" ids="125250,125251,125252,125253,125254,125255"]=> Case lâm sàng 3:
[gallery link="file" columns="4" ids="135692,135693,135694,135695,135696,135697,135698"]15. Dấu hiệu thanh mã tấu
– Hội chứng Scimitar là một hội chứng hiếm gặp, đặc trưng bởi shunt trái-phải, do bất thường sự trở về tĩnh mạch phổi, tĩnh mạch phổi dẫn lưu bất thường về tĩnh mạch chủ dưới, tĩnh mạch gan, tĩnh mạch cửa, thường liên quan đến chứng giảm sản phổi. – Hội chứng scimitar có mối liên quan cao với các dị tật bẩm sinh khác (khoảng 25%) liên quan đến tim mạch (thông liên nhĩ và thông liên thất, còn ống động mạch, tứ chứng Fallot), hệ thống xương và hệ thống sinh dục cũng như các bất thường của cơ hoành phải. Trẻ em mắc bệnh này không có triệu chứng trừ khi có khuyết tật tim bẩm sinh liên quan hoặc shunt trái-phải đáng kể dẫn đến tình trạng quá tải thể tích tim phải và suy tim. – Trên chụp X quang ngực, biểu hiện đặc trưng là thông khí phổi không đối xứng liên quan đến giảm sản phổi phải, thường tạo ra biểu hiện tăng độ sáng của phổi đối diện. Giảm thể tích phổi phải gây ra sự dịch chuyển trung thất và chuyển hướng tim. Rốn phổi phải có thể nhỏ thứ phát do thiểu sản hoặc bất sản động mạch phổi phải. – Dấu hiệu hình ảnh đặc trưng là dấu hiệu Scimitar, một đường cong mờ rộng được hình thành bởi tĩnh mạch bất thường chạy song song với bờ tim phải giống như hình ảnh thanh gươm Thổ Nhĩ Kỳ và chạy từ giữa phổi về phía góc tâm hoành. Khoảng 1/3 trường hợp có thể thấy dấu hiệu này trên phim x-quang
[gallery columns="5" link="file" ids="164908,164903,164904,164906,64706,133784,133785,142843,174877"]16. Dấu hiệu số 3
– Dấu hiệu số 3 (Figure 3 Sign / Mogul Sign): vị trí của thắt eo động mạch chủ thường ở sau nơi xuất phát động mạch dưới đòn (T). Qua chỗ thắt eo động mạch chủ sẽ phình ra sau hẹp và tạo thành hình số 3 ngay dưới quai động mạch chủ.
[gallery link="file" columns="5" ids="64703,64704,64705,133779,133778"]17. Dấu hiệu khuyết sườn
– Dấu hiệu khuyết sườn (Rib Notching Sign): trong thắt eo động mạch chủ máu sẽ thiếu hụt sau chỗ thắt => tuần hoàn bàng hệ phát triển: + A: Máu sẽ từ động mạch dưới đòn qua động mạch vai xuống, tiếp nối với động mạch liên sườn để trở về động mạch chủ sau chỗ hẹp. + B: Máu sẽ từ động mạch dưới đòn qua động mạch vú trong, tiếp nối với động mạch liên sườn để trở về động mạch chủ sau chỗ hẹp. – Hình ảnh khuyết bờ dưới cung sườn do giãn động mạch gian sườn. Thường ảnh hưởng các xương sườn 3 đến 8
[gallery link="file" columns="5" ids="64700,64701,64702,133782,143165"]18. Dấu hiệu bờ viền đều

– Dấu hiệu đường viền không liên tục “Icomplete border sign” hay bờ viền đều “Tapered margins”
[gallery link="file" ids="152515,152505,152506"]– Giúp phân biệt tổn thương thuộc phổi hay ngoài phổi. – Tổn thương thành ngực, màng phổi hoặc trung thất có đường viền đều và góc tiếp xúc với thành ngực là góc tù.
[gallery link="file" columns="4" ids="131708,64699,131714,131710,131711,131712,131713"]– Tổn thương thuộc phổi thường có bờ không đều, góc tiếp xúc với thành ngực là góc nhọn.

19. Dấu hiệu mức dịch khí

– Dấu hiệu giúp phân biệt hình ảnh mực dịch – khí ở trong nhu mô phổi hay ở màng phổi. + Nếu trên phim chụp phổi thẳng và nghiêng, mức dịch khí như nhau => Mứ dịch khí thuộc phổi.
[gallery link="file" columns="2" ids="64692,64693"]+ Nếu mức dịch khí khác nhau => Mức dịch khí thuộc màng phổi.
[gallery link="file" columns="4" ids="64694,64695,64696,64697"]20. Dấu hiệu rãnh sâu
– Dấu hiệu rãnh sâu (Deep Sulcus Sign): Dấu hiệu thấy trên các phim chụp bệnh nhân tràn khí màng phổi ở tư thế nằm. Vùng cao nhất trong khoang màng phổi là vùng phía trước và vùng dưới. Khí sẽ tụ ở vùng này. – Khi khí tụ ở góc sườn hoành trước, tạo ra dấu hiệu góc sườn hoành sâu.
[gallery link="file" columns="4" ids="152941,129505,154333,129507,151901,129504,151352,155785,160253,165691,167224,167225"]=> Case lâm sàng 1:
[gallery link="file" columns="5" ids="83619,83621,83622,83623,83624"]=> Case lâm sàng 2:
[gallery columns="2" link="file" ids="175456,175457"]21. Viền khí quanh ĐM
– Dấu hiệu viền khí quanh động mạch (Ring Around The Artery Sign): Dấu hiệu này thường thấy trên phim nghiêng giúp chẩn đoán tràn khí trung thất.
[gallery link="file" columns="4" ids="19320,64690,136211,136214"]=> Case lâm sàng 1:
[gallery link="file" ids="41984,41989,41988,41987,41986,41985"]=> Case lâm sàng 2:
[gallery columns="4" link="file" ids="46157,46158,46165,46160,46161,46162,46163,46164"]=> Case lâm sàng 3:
[gallery link="file" columns="4" ids="46172,46169,46171,46170"]22. Vòm hoành liên tục
– Dấu hiệu vòm hoành liên tục (Continous Diaphragm Sign): Bình thường không thể thấy liên tục vòm hoành từ (P) sang (T) do bóng tim tạo nên dấu hiệu xóa bờ với vòm hoành. – Khi ta thấy vòm hoành (P) được nối liên tục qua vòm hoành (T) thì gợi ý tràn khí màng ngoài tim, tràn khí trung thất hoặc khí tự do ổ phúc mạc.
[gallery link="file" columns="5" ids="64993,64994,64995,64996,64997"]23. Vòm hoành đôi
– Dấu hiệu vòm hoành đôi (Double Diaphragm Sign): phim chụp ngực tràn khí màng phổi tư thế nằm, vùng cao nhất trong khoang màng phổi là vùng phía trước và vùng dưới, có thể quan sát thấy cả vòm hoành và phần trước cơ hoành.
[gallery link="file" columns="4" ids="152938,64686,64687,64688"]24. Dấu hiệu phổi rơi
– Dấu hiệu phổi rơi (Fallen lung sign): đề cập đến hình ảnh xẹp phổi xảy ra do chấn thương phế quản và tràn khí màng phổi lượng lớn. Phổi không còn được treo ở vị trí bình thường tương xứng với rốn phổi mà như bị rơi xuống thấp và ra ngoài (phim chụp tư thế đứng) hay ra sau (tư thế nằm trên CT). Phân biệt xẹp phổi do tràn khí màng phổi: phổi xẹp co lại hướng về rốn phổi.
[gallery link="file" columns="5" ids="64898,170278,64899,64901,170274"]25. Đường vào – đường ra
– Dấu hiệu đường vào – đường ra (Inlet to Outlet Sign): Thực quản, động mạch chủ và ống ngực là 3 cấu trúc chạy xuyên qua trung thất từ đường vào (inlet) tới đường ra (outlet). – Giãn của 1 trong 3 cấu trúc này có thể sẽ tạo hình ảnh bóng mờ trung thất đi từ đường vào tới đường ra. + Bóng mờ từ đường vào đến đường ra ở bên (P) trung thất là do giãn thực quản.
[gallery link="file" columns="4" ids="64684,74519,64685,74520"]+ Bóng mờ từ đường vào đến đường ra ở bên (T) trung thất là do phình động mạch chủ.
[gallery link="file" ids="64681,64682,64683"]26. Băng qua đường giữa
– Dấu hiệu băng qua đường giữa (Crossing Midline Sign): Một bóng mờ ở trung thất sau dưới, nếu băng qua đường giữa thì nhiều khả năng bóng mờ đó có nguồn gốc từ ống tiêu hóa (thoát vị khe thực quản).
[gallery link="file" columns="4" ids="64677,64678,64679,64991"]– Chẩn đoán xác định bằng chụp thực quản-dạ dày cản quang hoặc cắt lớp vi tính.
[gallery columns="4" link="file" ids="88837,88838,88839,88840"]27. Dấu hiệu bánh Oreo
– Đánh giá tràn dịch màng ngoài tim số lượng ít trên phim chụp nghiêng. – Khi lượng dịch ít có hình ảnh dày đường mờ trước tim trên phim nghiêng. Đường này do tương phản mỡ màng ngoài tim và lớp mỡ sau xương ức, bình thường dày khoảng 2-3mm

– Dấu hiệu bánh Oreo “Oreo cookie sign: dịch màng ngoài tim làm tăng độ mờ sau tim, tạo ra 2 đường sáng ngăn cách. Hai đường đó là mỡ sau xương ức và mỡ màng ngoài tim. Điều này thấy rõ hơn trên CT.
[gallery link="file" columns="5" ids="167763,152425,50983,50982,133925,50984,50985,133936,133954"]28. Dấu hiệu Atoll
– Dấu hiệu “atoll” hay còn gọi là dấu hiệu vòng halo đảo ngược “reversed halo sign” là vùng kính mờ khu trú ở trung tâm được bao quanh bởi vòng đông đặc ngoại vi – có thể là vòng kín hoặc vòng hình lưỡi liềm. Hình ảnh này giống như một đảo san hô bao quanh miệng núi lửa – vì thế gọi là atoll sign. + Vùng kính mờ ở giữa: phản ánh hiện tượng viêm vách phế nang hoặc mảnh tế bào trong lòng phế nang. + Vòng đông đặc ngoại vi: thường là tổ chức u hạt, xơ hóa, hoặc thâm nhiễm tế bào viêm. – Ban đầu, dấu hiệu này được mô tả trong viêm phổi tổ chức hóa (organizing pneumonia), tuy nhiên nó cũng có thể xuất hiện trong nhiều bệnh lý khác: + Nấm xâm nhập, lao, viêm phổi do vi khuẩn, Covid-19. + Nhồi máu phổi do thuyên tắc mạch. + U hạt + Viêm phổi do xạ trị, viêm phổi mỡ. + Ung thư phổi không tế bào nhỏ.
[gallery link="file" columns="4" ids="188734,188735,188726,188727,188728,188729,188730,188732"]
Từ khóa » Dấu Hiệu Vòm Hoành đôi
-
Dấu Hiệu Vòm Hoành đôi... - Diễn Đàn Kỹ Thuật Hình Ảnh Y Học
-
Dấu Hiệu Mờ Bờ Cơ Hoành Trên Hình ảnh X Quang Ngực | Vinmec
-
Dấu Hiệu Vòm Hoành đôi Double Diaphragm Sign - 123doc
-
CHẨN ĐOÁN X QUANG NGỰC - Health Việt Nam
-
CÁC DẤU HIỆU PHỔI TRÊN PHIM X QUANG NGỰC - SlideShare
-
Cac Dau Hieu Va Hinh Anh X Quang Nguc - SlideShare
-
Các Hội Chứng Hình ảnh Trên Phim Phổi Thông Thường - Dieutri.Vn
-
Các Kỹ Thuật Hình ảnh Khám Hệ Hô Hấp - Dieutri.Vn
-
X- Quang Chẩn đoán Bệnh Phổi
-
Các Dấu Hiệu X Quang Lồng Ngực - Tài Liệu, Luận Văn
-
QUANG NGỰC NÂNG CAO] Bài 7- Những Bất Thường Của Cơ Hoành
-
CĐHA_Xquang Ngực Bình Thường Flashcards | Quizlet
-
[PDF] X Quang Trong Bệnh Lý Tim Mạch - ATCS
-
Bất Thình Lình Phát Hiện Khối U Khi Không Có Dấu Hiệu Bất Thường Nào
-
Xẹp Phổi: Kẻ Thù Thầm Lặng
-
Thoát Vị Khe Hoành: Nguyên Nhân, Triệu Chứng, Chẩn đoán Và điều Trị