Kết Hợp đặt ống Thông (Catheter) động Mạch Và Tĩnh Mạch Rốn Trong ...
Có thể bạn quan tâm
Tại sao cần đo huyết áp động mạch rốn?
Trong cấp cứu suy tuần hoàn, việc kiểm soát huyết áp rất quan trọng. Trước đây, khoa Sơ sinh chúng tôi theo dõi huyết áp dựa vào dấu hiệu như toàn trạng và đo huyết áp bằng băng đo (đo huyết áp không xâm nhập), tuy nhiên gặp khó khăn và đo không chính xác vì tay trẻ sơ sinh nhỏ, băng đo không có kích cỡ phù hợp.
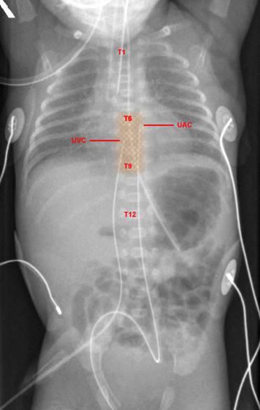
Vì vậy, đo huyết áp xâm nhập bằng cách đặt catheter động mạch rốn và theo dõi huyết áp trên thiết bị là giải pháp cho vấn đề trên. Trong vòng một tuần đầu sau sinh, động mạch rốn của trẻ sơ sinh chưa co hoàn toàn nên dễ dàng thực hiện thủ thuật đặt cathether.
Tại sao nên kết hợp đặt ống thông ở cả động mạch và tĩnh mạch rốn
Bên cạnh đặt Catheter ở động mạch rốn để theo dõi huyết áp liên tục, tĩnh mạch rốn cũng cần đặt catheter để truyền thuốc cấp cứu suy tuần hoàn. Rốn là một trong những mạch trung tâm, việc truyền thuốc qua mạch trung tâm đỡ bị bít, tắc so với mạch ngoại vi. Một số loại thuốc, đặc biệt là thuốc dùng trong cấp cứu, chỉ truyền được qua mạch trung tâm, nếu truyền mạch ngoại vi sẽ dẫn đến co mạch, hỏng mạch. Do làm hai thủ thuật cùng một thời điểm, việc kết hợp đặt Catheter động mạch rốn và tĩnh mạch rốn giúp bé:
- Giảm số lần dùng an thần, giảm đau đớn và stress, giảm phơi nhiễm với nhiễm trùng
- Theo dõi được huyết áp động mạch liên tục, đo áp lực tĩnh mạch trung tâm giúp sử dụng thuốc cấp cứu chính xác, an toàn, hiệu quả
- Giúp lấy máu xét nghiệm qua động mạch rốn dễ dàng
Từ năm 2016 đến nay, khoa Sơ sinh Bệnh viện Phụ Sản Hà Nội đã đồng thời đặt Catheter động mạch rốn và tĩnh mạch rốn cứu nguy nhiều trường hợp suy tuần hoàn ở trẻ sơ sinh. Kỹ thuật này đã đạt giải Nhất trong “Hội thi kỹ thuật sáng tạo tuổi trẻ ngành y tế Hà Nội” năm 2017. Trong vòng một năm, khoa Sơ sinh của Bệnh viện Phụ Sản Hà Nội đã thực hiện 56 ca đặt Catheter tĩnh mạch rốn và động mạch rốn với tỷ lệ thành công chiếm 82,1%. Những trường hợp không đặt được nghi ngờ do động mạch bị xoắn, trong đó 1 trường hợp do trẻ sơ sinh 9 ngày tuổi, các mạch rốn đã đóng. Bệnh viện chưa ghi nhận trường hợp nào có biến chứng nhiễm trùng (nhiễm trùng Catheter, viêm ruột hoại tử), tim mạch (tắc mạch, loạn tim, huyết khối). Trường hợp viêm rốn, viêm phúc mạc, viêm ruột hoại tử, rối loạn đông máu nặng, thoát vị rốn, thoát vị qua khe hở thành bụng, có dấu hiệu tắc mạch chi dưới hoặc vùng mông được chống chỉ định với kỹ thuật này.
Bệnh viện Phụ Sản Hà Nội đánh giá đây là kỹ thuật giúp chẩn đoán, theo dõi, điều trị kịp thời, chính xác và hiệu quả trong hồi sức suy tuần hoàn ở trẻ sơ sinh. Hiện tại, các bác sỹ khoa Sơ sinh của Bệnh viện đang nghiên cứu thêm một cách đầy đủ về cải tiến kỹ thuật đặt Catheter rốn, từ đó có thể đưa vào ứng dụng trên lâm sàng. Suy tuần hoàn ở trẻ sơ sinh diễn biến nhanh và để lại hậu quả rất nặng nề, vì vậy, với cương vị là đơn vị tuyến cuối chuyên ngành sản phụ khoa, Bệnh viện khuyến cáo sản phụ nên đăng ký sinh tại cơ sở y tế có uy tín với đội ngũ bác sỹ chuyên môn cao và trang thiết bị kỹ thuật hiện đại để được can thiệp kịp thời.
Khoa Sơ Sinh
Từ khóa » Cách đặt Catheter Tĩnh Mạch Rốn
-
Đặt Catheter Tĩnh Mạch Rốn | Vinmec
-
[PDF] Các Thủ Thuật Đặt Tĩnh Mạch Ngoại Biên Và Cố định Tĩnh Mạch
-
ĐẶT ỐNG THÔNG TĨNH MẠCH RỐN SƠ SINH - Health Việt Nam
-
Đặt Catheter Tĩnh Mạch Rốn ở Trẻ Sơ Sinh | BvNTP
-
đặt Catheter Tĩnh M ạch Rốn ở Trẻ Sơ Sinh - Khamgiodau
-
Đặt Catheter Tĩnh Mạch Rốn - YouTube
-
Đặt Catheter Tĩnh Mạch Rốn Nuôi Dưỡng Trẻ Sơ Sinh Là Gì?
-
Nuôi Dưỡng Trẻ Sơ Sinh Tại Vinmec Bằng Cách đặt Catheter Tĩnh Mạch ...
-
Đặt Catheter Tĩnh Mạch Rốn - Thuốc Thảo Mộc - Kiến Thức Trị Liệu
-
Đặt Catheter Tĩnh Mạch Rốn - Mới Nhất 2022
-
[PDF] MỤC LỤC ĐẶT CATHETER MẠCH RỐN SƠ SINH ...
-
[DOC] QUY TRÌNH KĨ THUẬT KHOA NHI
-
Trung Tâm Sản Nhi Làm Chủ Kỹ Thuật Kết Hợp đặt ống Thông Catheter ...
-
[PDF] CHĂM SÓC VÀ THEO DÕI BỆNH NHÂN ĐẶT CATHETER TĨNH ...