Thèm Lắm Một Nụ Cười Trọn Vẹn
Có thể bạn quan tâm
Nụ cười luôn là tâm điểm của gương mặt, một nụ cười đẹp khiến bạn luôn tỏa sáng dù ở bất cứ nơi đâu. Tuy nhiên, đối với một vài người bị hô do xương hàm, nụ cười chính là một sự xa xỉ. Nguyên nhân là do khi cười để lộ quá mức răng và xương hàm gây mất tự tin, khiến những người sở hữu nụ cười hở lợi cảm thấy mặc cảm, khổ sở, thiếu tự tin khi giao tiếp, tiết chế cảm xúc và từ đó họ rất ngại cười. Họ thường có thói quen cười mỉm hoặc dùng tay che miệng khi cười, hành động này phần nào làm giảm đi sự tự nhiên và duyên dáng của bản thân họ.

Tướng vận “phá tướng” của người hô hàm và cười hở lợi
Trong nhiều trường hợp, những người hô hàm còn bị mang ra làm trò đùa như “bàn nạo dừa”, “răng tung tăng đi trước, môi lả lướt theo sau”…khiến họ luôn mất tự tin khi đi ra ngoài hoặc khi giao tiếp. Thực sự lúc đó họ chỉ biết cười trừ nhưng chạnh lòng và tủi thân ghê gớm.

Còn theo phong thủy, một người có nụ cười hở răng hở lợi thì có không ít cốt cách xấu gán theo tướng số của họ như: tính nết không trung thực, có tư tưởng hoang phí, nông cạn, vất vả, thoát tài lộc, nhiều chuyện…. Miệng ngậm mà vẫn hở răng hoặc khi ngủ không ngậm miệng thì chủ nhân sức khỏe không tốt, đoản thọ.
Phẫu thuật xương hàm hô cho nụ cười xinh

Trước đây cứ bị hô là phải niềng răng? Rất nhiều trường hợp niềng răng không đúng chỉ định, bao nhiêu tiền bạc, công sức, sự chịu đựng đau đớn phải bỏ ra trong nhiều năm liền mà kết quả không được như ý và kết quả là hô vẫn cứ hô? Xác định nguyên nhân hô là bước quan trọng nhất khi điều trị hô. Về cơ bản có 3 nhóm hô thường gặp là hô do răng, hô xương hàm và hô vừa răng vừa xương hàm kết hợp. Như vậy có 3 nhóm hô thường gặp và chỉ định điều trị cũng khá rõ ràng: hô do răng thì phải niềng răng, hô do xương hàm thì phải phẫu thuật chỉnh xương hàm, hô vừa do răng vừa do xương hàm thì phải kết hợp cả niềng răng (hoặc làm răng sứ) và phẫu thuật xương hàm.

Ưu điểm của phương pháp phẫu thuật hàm hô này như sau:
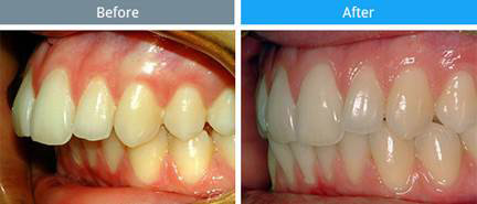
+ Cùng lúc có thể giải quyết được mọi tình trạng khiếm khuyết do xương hàm phì đại quá mức gây ra: hô hàm trên, hô hàm dưới, kết hợp hô hàm trên và hàm dưới. Bệnh nhân hết hô xương hàm 100 % ngay sau mổ.
+ Ít biến chứng, ít lộ dấu vết phẫu thuật do đường cắt dưới niêm mạc miệng.
+ Khung xương hàm trở nên bình thường, vừa vặn với khuôn miệng, bờ môi được cuộn vào và mất luôn tình trạng cười hở nướu.
+ Phẫu thuật 1 lần duy nhất, cho kết quả trọn đời.
Phẫu thuật chỉnh hình hàm răng hô là một phẫu thuật phức tạp liên quan đến toàn bộ cấu trúc xương hàm mặt, là một kỹ thuật khó, và không phải Bác sĩ nào cũng có thể thực hiện được nếu không được đào tạo bài bản và kinh nghiệm chuyên sâu về hàm mặt.
Trước khi quyết định phẫu thuật, bạn sẽ được tư vấn hoàn toàn miễn phí với các Tiến sĩ, Thạc sĩ, Bác sĩ với kinh nghiệm tư vấn và thực hiện phẫu thuật cắt hàng trăm xương hàm, sẽ cùng thảo luận và giúp bạn chọn lựa cách chỉnh hình xương hàm phù hợp nhất, tùy thuộc vào cấu trúc xương hàm của bạn. Sau khi xem xét trực tiếp và thông qua phim X-quang, Bác sĩ sẽ đề ra những chỉ định chi tiết khác nhau. Có thể can thiệp chỉ hàm trên, có thể cả 2 hàm trên dưới để giải quyết lệch khớp cắn hoặc đi kèm xử lý lợi thừa hàm trên. Xương hàm được đẩy lùi về sau và cố định lại chắc chắn không hề gây ảnh hưởng tới chức năng nhai, nuốt, hệ thống dây thần kinh và hộp sọ, do vậy bạn chỉ cảm thấy hơi bất tiện khoảng 3 ngày đầu, sau đó mọi chuyện đều trở nên hết sức đơn giản.

Thời gian phẫu thuật nhanh chóng cùng thời gian bình phục nhanh, không để lại dấu vết phẫu thuật là những ưu điểm có thể kể đến khi lựa chọn phương pháp phẫu thuật khi muốn dứt bỏ tình trạng hô xương cười hở lợi.
Phẫu thuật cắt dời khối xương hàm cũng áp dụng đối với các trường hợp móm do xương hàm kém phát triển.
Hãy lấy lại nụ cười trọn vẹn bằng Phẫu thuật cắt xương hàm nội soi 3 D, công nghệ tiên tiến nhất hiện nay
Nhanh chóng - An toàn - Không sẹo - Một lần duy nhất - Hiệu quả ngoạn mục.
Lưu ý: Hollywood Plastic Surgery chỉ tư vấn cắt xương hàm hô, mọi phẫu thuật chỉnh hàm cần được thực hiện tại bệnh viên được Bộ y tế cấp phép dịch vụ này.
| Liên hệ tư vấn tại: Hollywood Plastic Surgery 89A Nguyễn Trãi Phường Bến Thành Quận 1 TP HCM. Phone (08) 39. 255. 199- 0935. 77.43.53 Đội ngũ Bác sĩ : + Tiến sĩ - Bác sĩ Đỗ Thành Trí - Hội viên hội Phẫu Thuật Tạo Hình Thẩm Mỹ TP HCM. Số chứng chỉ hành nghề 00042/ĐN-CCHN. + Thạc sĩ - Bác sĩ Trần Thị Xuân Hoa- Hội viên hội Phẫu Thuật Tạo Hình Thẩm Mỹ TP HCM. Số chứng chỉ hành nghề 0011730/BYT-CCHN. Tham gia các khóa tu nghiệp, huấn luyện phẫu thuật tạo hình thẩm mỹ của Hàn Quốc, Mỹ, Úc… |
Từ khóa » Nụ Cười Trọn Vẹn
-
Nụ Cười Trọn Vẹn - Smile Again (2003) - Phim Bộ Hàn Quốc
-
Nụ Cười Trọn Vẹn - Xem Phim Online Miễn Phí
-
Nụ Cười Trọn Vẹn - Smile Again (2006) [HD VietSub]
-
Nụ Cười Trọn Vẹn - HH3DHAY.XYZ
-
Phim Nụ Cười Trọn Vẹn Lồng Tiếng - Tốc Độ Cao
-
VẺ ĐẸP NỤ CƯỜI - TRỌN VẸN GAM MÀU RỰC RỠ TRONG CUỘC ...
-
Nụ Cười Trọn Vẹn (16/16 Lồng Tiếng) - Smile Again (2011)
-
Hành Trình Tìm Lại Nụ Cười Trọn Vẹn Cho Trẻ Hở Môi Hàm ếch - AFamily
-
"Vì Nụ Cười Trọn Vẹn Của Trẻ Em - Tin Tức Mới Nhất 24h Qua - VnExpress
-
NỤ CƯỜI TRỌN VẸN - CÓ HẸN VỚI THANH XUÂN - Suckhoe123
-
Hành Trình Tìm Lại Nụ Cười Trọn Vẹn Cho Trẻ Hở Môi Hàm Ếch
-
NỤ CƯỜI TRỌN VẸN – ĐONG ĐẦY HẠNH PHÚC” - Suckhoe123
-
Phim Nụ Cười Trọn Vẹn | Smile Again - Vietsub, Thuyết Minh, HD