Tìm Hiểu Về Giai đoạn đóng Khoảng Trong ... - Yên Tâm Sống Khỏe
Niềng răng là cả quá trình kéo dài từ 1.5 – 2 năm vì vậy mà sẽ có rất nhiều giai đoạn diễn ra trong quá trình này. Bao gồm trong đó có giai đoạn đóng khoảng. Vậy đóng khoảng trong niềng răng là gì? Kéo dài trong bao lâu? Cùng tìm hiểu qua bài viết dưới đây nhé.

Mục lục
- Các giai đoạn trong niềng răng
- Kỹ thuật đóng khoảng được thực hiện như thế nào?
- Các cách đóng khoảng trong niềng răng
- Sử dụng minivis
- Sử dụng hệ thống móc
- Sử dụng chun đóng khoảng
- Giai đoạn đóng khoảng kéo dài bao lâu?
- Các vấn đề thường gặp phải trong giai đoạn đóng khoảng
- Răng bị đau, ê buốt
- Chun, lò xo, móc tì vào lợi
- Dây cung bị thừa ra
- Răng bị lung lay nhẹ
Các giai đoạn trong niềng răng
Trong quá trình niềng răng chỉnh nha sẽ có nhiều giai đoạn khác nhau tương ứng với từng kỹ thuật thực hiện nhằm kéo chỉnh răng về vị trí như mong muốn. Trong đó, giai đoạn đóng khoảng rất quan trọng nên bạn cần đặc biệt chú ý. Giai đoạn này quyết định phần lớn tới thẩm mỹ của hàm răng sau điều trị. Ở giai đoạn đóng khoảng trong niềng răng, bác sĩ sẽ thay thế dây cung bằng dây Stainless Steel có độ cứng hơn nhằm tăng lực siết trong quá trình chỉnh nha. Bác sĩ sẽ dùng lò xo hoặc chun đóng khoảng để móc từ răng hàm trong cùng ra răng cửa giúp kéo răng di chuyển về đúng với vị trí của nó.
Thông thường, một quá trình niềng răng sẽ diễn ra theo 5 giai đoạn như sau:
Giai đoạn làm thẳng răng:
Sau khi lên phác đồ điều trị bác sĩ sẽ thực hiện gắn mắc cài lên răng, đây chính là bước mở đầu cho hành trình chỉnh nha sắp tới của bạn. Lúc này bác sĩ sẽ siết lực trên mắc cài và dây cung, tạo lực kéo các răng dần dịch chuyển. Giai đoạn này thường kéo dài từ 2 – 6 tháng tùy vào tình trạng răng của từng người. Khi siết dây cung thì bạn sẽ đau nhức một chút nhưng chỉ xuất hiện trong vài ngày đầu.
Đọc chi tiết: Những công việc thực hiện khi siết răng
Giai đoạn điều chỉnh chân răng:
Sau khi các răng đã thẳng hàng thì bác sĩ sẽ tiến hành điều chỉnh chân răng bằng cách sử dụng dây cung để tạo lực dịch chuyển chân răng. Giai đoạn này sẽ kéo dài từ 2 – 4 tháng. Giai đoạn này sẽ giúp trục răng thẳng và chuẩn hơn.
Giai đoạn đóng khoảng trong niềng răng:
Khi chân răng và trục răng đã tương đối đều thì bác sĩ sẽ thực hiện kỹ thuật đóng khoảng trong niềng răng. Đóng khoảng răng nhằm dịch chuyển các răng về vị trí như tính toán. Giai đoạn này thường kéo dài từ 4 – 8 tháng. Bạn sẽ thấy rõ được sự thay đổi của răng và khuôn mặt ở giai đoạn đóng khoảng. Nếu răng bị hô sẽ được kéo lùi lại, nếu bị móm răng sẽ được đẩy chếch lên phía trước, nếu răng bạn lộn xộn, khấp khểnh thì răng sẽ về đúng vị trí giúp hàm răng trở nên đều đặn hơn. Hãy nhớ tái khám định kỳ để bác sĩ kiểm soát được lực tốt hơn.

Giai đoạn đóng khớp theo chiều đứng:
Giai đoạn này sẽ quyết định đến khả năng ăn nhai sau chỉnh nha của người niềng. Bác sĩ sẽ gắn các loại chun từ hàm trên xuống hàm dưới theo chiều thẳng đứng để hai hàm tiếp xúc với nhau. Thông thường giai đoạn đóng khớp sẽ diễn ra trong vòng 2 – 8 tuần.
Giai đoạn duy trì:
Sau khi tháo niềng răng sẽ cần cố định các răng đã dịch chuyển để đảm bảo răng không “chạy” lại vị trí cũ. Lúc này, bạn sẽ đeo hàm duy trì với thời gian tùy vào từng trường hợp niềng răng chỉnh nha. Tốt nhất bạn nên đeo hàm liên tục trong 6 tháng đầu, sau đó sẽ dãn dần ra. Thời gian eo hàm duy trì nên bằng thời gian đeo mắc cài.
Kỹ thuật đóng khoảng được thực hiện như thế nào?
Đóng khoảng trong niềng răng là giai đoạn quan trọng của quá trình chỉnh nha, quyết định phần lớn đến thẩm mỹ hàm răng sau điều trị. Ở giai đoạn đóng khoảng trong niềng răng, bác sĩ sẽ thay dây cung cũ bằng loại dây cung cứng hơn, tăng lực siết trong quá trình chỉnh nha.
Kỹ thuật đóng khoảng trong niềng răng được thực hiện như sau:
- Kéo lùi các răng trước ra sau: Đối với các trường hợp răng hô vẩu, chìa ra ngoài nhiều hơn bình thường thì bác sĩ sẽ thực hiện kéo lùi các răng lại phía sau, giúp cải thiện tình trạng này. Các răng trước sẽ được điều chỉnh lần lượt bằng cách dùng chun duỗi hoặc lò xo có hai móc kéo mắc từ khối các răng sau vào mắc cài ở răng trước để kéo lùi các răng. Thực hiện thay chun chuỗi sau 2 – 3 tuần, hoặc thay lò xo kéo sau 4 – 6 tuần.
- Kéo các răng sau ra trước: Kéo các răng sau ra trước tương tự như khi kéo răng ra sau nhưng ngược lại ở chỗ buộc cố định các khối răng trước và kéo từng răng sau ra trước.
- Phối hợp kéo các răng trước ra sau và kéo các răng sau ra trước: Buộc cố định đồng thời nhóm răng sau và nhóm răng trước thành từng khối. Tiến hành kéo 2 khối đóng khoảng bằng chun chuỗi hoặc lò xo.
Vì đây là giai đoạn quan trọng nhất của quá trình niềng răng nên cần bác sĩ kiểm soát lực thường xuyên để không xảy ra những sai lệch trên răng hay các biến chứng răng miệng như cười hở lợi, răng quặp,…

Di chuyển tịnh tiến là di chuyển được mong muốn nhất trong quá trình đóng khoảng nhổ răng. Có nghĩa là cả thân và chân răng cùng di chuyển tới vị trí mong muốn. Nếu chỉ có thân răng di chuyển còn chân răng không di chuyển hay còn gọi là nghiêng răng thì sau khi tháo niềng sẽ có tình trạng tái phát, xuất hiện lại khoảng hở do răng di chuyển về vị trí cũ.
Các cách đóng khoảng trong niềng răng
Khoảng trống nhổ răng sẽ được tận dụng để sắp xếp đều các răng chen chúc, kéo nhóm răng trước giảm hô. Khoảng nhổ răng phải được đóng hoàn toàn khi quá trình chỉnh nha kết thúc. Vậy có những cách nào đóng khoảng trong niềng răng?
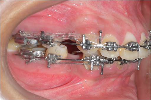
Sử dụng minivis
Minivis là những ốc vít nhỏ, được cắm sâu vào trong xương hàm, là điểm neo giữ các khí cụ khác như dây thun kéo, lò xo giúp đóng những khoảng trống niềng răng, tiêu biểu như khi phải nhổ bớt răng.
Áp dụng trong những trường hợp bị hô, khớp cắn sâu cần đưa nhóm răng cửa vào hoặc sắp đều các răng. Các kỹ thuật nắn chỉnh mà bác sĩ áp dụng nếu được sự hỗ trợ của minivis sẽ giúp cho việc kiểm soát lực kéo cân bằng chính xác hơn rất nhiều. Vị trí đặt minivis sẽ phụ thuộc vào từng trường hợp, có thể là giữa các răng, khu vực gần dưới mũi hoặc phía trên cằm,…
Trước khi tiến hành cắm minivis, bạn sẽ được gây tê nên cả quá trình sẽ không có cảm giác đau nhức. Sau khi hết thuốc tê, bạn sẽ cảm thấy hơi ê nhức chứ không quá đau như nhiều người lầm tưởng. Bên cạnh đó, bác sĩ kê thuốc giảm sưng viêm hỗ trợ giảm đau hiệu quả.
Xem chi tiết: Quy trình và lưu ý khi cắm minivis niềng răng

Sử dụng hệ thống móc
Thông thường, khi dùng móc thì bạn sẽ không cần phải cắm minivis nữa. Một số móc có thể gây vướng víu khiến người niềng răng không thoải mái trong vài ngày đầu. Lâu dần, khi đã quen thì cảm giác này sẽ biến mất. Nên bạn có thể cố gắng chịu khó một chút trong khoảng thời gian đầu để hệ thống móc có thể phát huy tối đa tác dụng và mang lại hiệu quả tốt nhất.
Sử dụng chun đóng khoảng
Chun chỉ đóng được những khoảng trống nhỏ. Trong những trường hợp răng bị chen chúc nhiều, sau khi sắp đều thì khoảng nhổ răng còn lại rất ít. Lúc này, khoảng sẽ được đóng lại nhờ chun chuỗi.
Giai đoạn đóng khoảng kéo dài bao lâu?
Giai đoạn đóng khoảng sẽ kéo dài từ 4 – 8 tháng tùy vào từng tình trạng răng miệng. Thời gian này còn phụ thuộc thêm vào những yếu tố sau:
- Khí cụ: Khí cụ chỉnh nha tốt, chất lượng cao sẽ giúp quá trình đóng khoảng diễn ra nhanh hơn.
- Tuổi tác: Tuổi càng cao, xương phát triển ổn định, cứng chắc nên thời gian dịch chuyển răng sẽ lâu hơn.
- Cơ chế kéo răng và đóng khoảng: Sử dụng lò xo kéo khoảng sẽ lâu hơn so với sử dụng loop bởi răng trượt trên dây cung có ma sát nên sẽ dịch chuyển lâu hơn.
- Vị trí răng và mật độ răng xung quanh: Nếu răng cần dịch chuyển là răng nanh thì thời gian đóng khoảng sẽ lâu hơn vì thân răng nanh cao và dài hơn so với răng khác.
Các vấn đề thường gặp phải trong giai đoạn đóng khoảng
Răng bị đau, ê buốt
Tình trạng này xảy ra cũng là điều rất dễ hiểu bởi lúc này mới điều chỉnh lực, dây cung và các khí cụ căng hơn nên cảm giác ê buốt răng không phải là điều gì quá lo ngại. Nếu quá đau hoặc ê buốt thì bạn có thể uống thuốc giảm đau. Tốt nhất là nên áp dụng các phương pháp tự nhiên như chườm nóng hoặc chườm lạnh. Trong thời gian đầu có thể ăn những món ăn lỏng, nhẹ để hạn chế lực nhai khiến cơn đau khó chịu hơn.

Chun, lò xo, móc tì vào lợi
Những khí cụ thêm vào này thường sẽ gây vướng víu, khó chịu trong khoảng thời gian đầu. Cách khắc phục tốt nhất là cố gắng làm quen với điều này. Nếu khí cụ gây khó chịu quá hoặc gây xước má, nướu,…thì bạn hãy tới nha khoa nhờ y tá, bác sĩ kiểm tra xem thế nào.
Dây cung bị thừa ra
Khi răng dịch chuyển và khoảng trống được co lại thì dây cung bị thừa ra là chuyện bình thường. Tuy nhiên, bạn sẽ cảm thấy đau và khó chịu khi nó liên tục chọc vào má. Bạn có thể sử dụng sáp nha khoa, vo tròn lại và ấn vào đoạn dây cung thừa trong thời gian chờ được xử lý phần dây cung đó.
Răng bị lung lay nhẹ
Sau đóng khoảng thì đây là biểu hiện hoàn toàn bình thường. Tuy nhiên, sau khi khoảng trống được đóng lại một thời gian rồi mà vẫn còn cảm giác răng lung lay kèm theo những cơn đau thì bạn cần liên hệ bác sĩ để được kiểm tra.
Trên đây là những thông tin cơ bản về giai đoạn đóng khoảng trong chỉnh nha. Giai đoạn này có thể sẽ gây khó chịu trong khoảng thời gian đầu. Bạn hãy chú ý đến chế độ ăn uống cũng như cách chăm sóc răng miệng để giai đoạn đóng khoảng diễn ra dễ chịu và thoải mái hơn.
Theo: Bacsiducniengrang.com
Từ khóa » Kéo Khoảng Trong Niềng Răng
-
Giai đoạn đóng Khoảng Trong Niềng Răng Chỉnh Nha
-
Giai đoạn đóng Khoảng Trong Chỉnh Nha Và Những Vấn đề Cần Nắm Rõ
-
Giai đoạn đóng Khoảng Trong Niềng Răng Diễn Ra Như Thế Nào?
-
Tìm Hiểu Về Giai đoạn đóng Khoảng Trong Niềng Răng
-
Giai Đoạn Đóng Khoảng Trong Niềng Răng Như Thế Nào?
-
Niềng Răng Có Mấy Giai đoạn? Giai đoạn Nào Xấu Nhất?
-
Giai đoạn đóng Khoảng Trong Niềng Răng Diễn Ra Thế Nào? | Up Dental
-
Giai đoạn đóng Khoảng Trong Niềng Răng Kéo Dài Bao Lâu? | Up Dental
-
Đóng Khoảng Trong Niềng Răng Diễn Ra Như Thế Nào? - YouTube
-
Giai đoạn đóng Khoảng Trong Niềng Răng Là Gì?
-
Các Giai đoạn Trong Niềng Răng, Chỉnh Nha Bạn Cần Biết
-
Giai đoạn đóng Khoảng Trong Niềng Răng Kéo Dài Bao Lâu? - Dr. Vương
-
Niềng Răng Có Mấy Giai đoạn? Giai đoạn Xấu Nhất Khi ... - Zenyum